E-ISSN 2218-6050 | ISSN 2226-4485
 

Original Article


Open Veterinary Journal, (2022), Vol. 12(6): 1000–1017

Original Research

10.5455/OVJ.2022.v12.i6.29

Nile tilapia bones as eco-friendly alternative in water treatment and enhancing performance and immunity in broiler chickens

Essam S. Soliman1*, Rania A. Hassan2, and Doaa S. Farid3

1Department of Veterinary Public Health, Faculty of Veterinary Medicine, Suez Canal University, Ismailia, Egypt

2Animal Production Division, Department of Animal Wealth Development, Faculty of Veterinary Medicine, Suez Canal University, Ismailia, Egypt

3Department of Environmental Protection, Faculty of Environmental Agricultural Sciences, Arish University, El-Arish, Egypt

Submitted: 01/10/2022 Accepted: 25/11/2022 Published: 19/12/2022


Abstract

Background: Water pollution has become a major threat to the environment and the living so an eco-friendly bio-filter was chosen for its merits over conventional techniques.

Aim: Investigating the purifying activities of the Tilapia bone powder against inorganics, heavy metals, and microbial water pollutants and its impacts on performance, biochemical and antioxidant levels, cortisol and immunoglobulin concentrations, and intestinal microbiota in challenged broiler chickens.

Methods: The in-vitro activity of Tilapia bone powder was evaluated against magnesium chloride and lead nitrate using tube minimal inhibitory concentration (MIC), as well as against Escherichia coli O1527:H7, Salmonella Typhimurium, Mycoplasma gallisepticum, Aspergillus niger, Trichophyton mentagrophytes, and Candida albicans using a 96-micro-well MIC. A total of 250 1-day-old Hubbard chicks were divided into five groups on a deep litter system. Chicks were supplemented daily with Tilapia bone powder (1 g/l) for 4–6 hours from the 3rd day. Challenges were served on the 7th, 14th, 21st, 28th, and 35th days for four broiler groups using magnesium chloride (100 mg/l), lead nitrate (350 mg/l), E. coli (2.4 × 1012 CFU/ml), S. Typhimurium (1.8 × 108 CFU/ml), respectively, and the 5th group was assigned as a control. A total of 2,250 samples (90 Tilapia-pollutants mixes, 480 Tilapia-microbial mixes, 240 sera, 240 intestinal swabs, and 1,200 tissue samples) were collected.

Results: Tilapia bone powder 1% reveals a 100% reduction in the lead after 1 hour, total and calcium hardness after 0.5 hours, as well as 100% killing efficacy against E. coli O1527:H7, S. Typhimurium, M. gallisepticum, A. niger, T. mentagrophytes, and C. albicans after 0.5, 1, 1, 1, 1, and 1 hour, respectively. Tilapia bone powder 1% treated water reveals highly significant (p < 0.01) increases in dissolved oxygen and declines in physicochemical and microbial parameters compared with tap water. Challenged treated broilers revealed highly significant (p < 0.01) increases in weight gains, performance index, body weights, carcasses, and organs weights, immunoglobulin concentrations, and antioxidant levels, as well as highly significant (p < 0.01) improvements in feed conversions, feed and water intakes, biochemical profile, cortisol hormone, and intestinal microbiota.

Conclusion: Tilapia bone powder provided significant in-vitro adsorptive and antimicrobial actions, as well as supported the broiler chickens to mitigate the polluted water stress accompanied by enhanced performance, carcass quality, immunity, and intestinal microbiota.

Keywords: Broiler chickens, Immunity, Performance, Tilapia bone waste, Water purification.


Introduction

The major goal of public health is to produce safe water in face of the increased demands of the augmented population and development and to provide water with ad-libitum to birds and animals (WHO, 2018). Drinking water quality affects directly the bird’s feed intake, performance, and carcass quality, and polluted water contributes to disease transmission (Li et al., 2017). In recent days, many anthropogenic-sourced emergent contaminants are being directly introduced into water bodies through effluent and wastewater discharge (Goswami et al., 2019). These contaminants are a current concern due to the environmental impacts related to the occurrence of these persistent substances in the environment. Epidemiological studies revealed the survival of a large number of pathogenic micro-organisms in water such as bacteria (Soliman et al., 2009a) including Salmonella, Escherichia coli, Shigella, Pseudomonas, Klebsiella, Staphylococcus, and Streptococcus, and fungi (Soliman et al., 2009b) including Mucor, Candida, and Aspergillus. Water biosecurity aims to reduce chemical and microbial contamination and face increased water demands (Li and Qian, 2018). Water quality has to be monitored and evaluated regularly using highly sensitive methods (Su et al., 2019; Tian and Wu, 2019).

Tilapia, which originated in the Middle East and Africa, is the second-largest farmed fish. According to reports, fish production was approximately 6.5 million metric tons in 2019 and increased by 4% in 2021 (Tveteras et al., 2019). Every year, the fish processing industry generates millions of tons of waste. As a result, indiscriminate waste disposal endangers the environment (de Medeiros et al., 2019) if wastes are not properly managed. Recently, the reuse of waste material as a medium for water treatment has received a lot of attention. According to Food and Agriculture Organization FAO (2020), Tilapia fish (Oreochromis niloticus) production in the world reaches approximately 4 million tons per year. In Egypt, 1,114,265 tons of Tilapia were produced in 2020, from which around 20%–25% represent the bones (Boscolo et al., 2008) and generating at least 222,853 tons of bone waste annually. Recently, various studies have been conducted on synthesizing some substances of high adsorbing and purifying capabilities from carbonated calcium phosphate bioceramic powder, such as that found in fish bones (Piencenaves, 2013).

Water purification processes usually target different pollutants like heavy metals, inorganics, solids, oils, gases, and microorganisms. Water purification processes have been carried out using approaches like porous medium filtration, gravitational sedimentation (Lin et al., 2020), sand filtration (Nakazawa et al., 2021), activated carbon (Singh et al., 2018), flocculation and coagulation (Lapointe et al., 2020), photocatalytic degradation (Hussain et al., 2017), oxidation (Parra et al., 2016), chlorination (Matsushita et al., 2018), eco-friendly clay (Mohamed et al., 2020; Soliman et al., 2021d), magnetization (Soliman et al., 2021c), reverse osmosis (Raval et al., 2016), ion exchange (Szczepanik, 2017), and adsorption (Dotto and McKay, 2020). Some adsorbents of low cost have been tested like biochar, sawdust, feathers, cottonseed hull, and Tilapia fishbone. The analysis of Tilapia bone revealed 30% organic and 70% inorganic phases with the presence of hydroxylapatite (Ca10(PO4)6(OH)2) which is a strong adsorbent (Ebrahimi et al., 2013). Tilapia culture is incipient in countries like Brazil (Martins et al., 2015) where the bones have been used as a dietary calcium supplement (Peng et al., 2017) and to produce biochar as a promising adsorbent for improving water quality. Tilapia bone was able to produce high adsorption capacity with a mesopore distribution of the hydroxyapatite (HAp) bases for enhanced high diffusion rates and high purification actions (Modenes et al., 2021).

This study aimed to investigate the in-vitro and in-vivo purifying (chelating and antimicrobial) activities of Nile Tilapia bone powder against inorganic (magnesium chloride, 100 mg/l), heavy metals (lead nitrate, 350 mg/l), and microbial (E. coli O1527:H7; 2.4 × 1012 CFU/ml, Salmonella Typhimurium; 1.8 × 108 CFU/ml, Mycoplasma gallisepticum 1.5 × 105 CFU/ml, Aspergillus niger, Trichophyton mentagrophytes, and Candida albicans; 3.2 × 109 CFU/ml each) water pollutants. The study also aimed to evaluate the influence of water treated with Nile Tilapia bones on performance, biochemical profile, antioxidant levels, cortisol hormone, immunoglobulin concentrations, and intestinal microbiota in broiler chickens challenged once weekly with polluted water (magnesium chloride at a rate of 100 mg/l, lead nitrate at a rate of 350 mg/l, E. coli O1527:H7 at a rate of 2.4 × 1012 CFU/ml, and S. Typhimurium 1.8 × 108 CFU/ml).


Material and Methods

Study location and duration

The in-vitro study was conducted from December 2021 to January 2022 in the Veterinary Public Health Laboratory and the in-vivo experiment was conducted in the poultry experimental units. The Faculty of Veterinary Medicine- Suez Canal University from February to April 2022. Water analysis (Physico-chemical and microbial), productive performance, carcass and organ weights, and biochemical, and bacteriological examinations were carried out in the Veterinary Public Health Laboratory. Antioxidants, immunoglobulin, cortisol markers, and water electrolytes were assessed in the Clinical Pathology Laboratories at the University Hospital, while water heavy metals analysis was conducted in the Toxicology laboratory- Chemistry Department- Faculty of Science- Suez Canal University. Histopathological examinations were conducted in El-Awael Laboratory- Ismailia governorate, Egypt.

Tilapia bone powder preparation

Tilapia (Oreochromis niloticus) bones were obtained from the fish market in Ismailia governorate, Egypt. The bones were transferred to the laboratory as quickly as possible in a dry ice box. In the laboratory, the bones were washed carefully with distilled water, fragmented into small pieces, sun-dried for 24 hours, and finally ground into a fine powder using a granite mortar (Mortar and Pestle, Cut Out, Stone - Object, Granite - Rock, Horizontal).

The powder was sterilized and extra-dried using a hot air oven (Daihan® LabTech® Hot air Oven, LDO-080N, Indonesia) at 80°C for 24 hours. The powder was stored in a cool dry place at 4°C until tested in the laboratory and field conditions for its efficacy (antimicrobial and adsorption actions).

Pollutant suspensions preparation

Magnesium chloride (HiMedia® GRM1068 Magnesium Chloride Hexahydrate, Purified, 500 g) was purchased and dissolved in distilled water at a rate of 100 mg/l. The solution was analyzed for total and calcium hardness and revealed levels of total hardness up to 2,650 mg/l CaCO3 and calcium hardness up to 1,960 mg/l CaCO3 compared to the normal MPL < 75 mg/l and <60 mg/l, respectively.

Lead nitrate (HiMedia GRM724 Lead (II) Nitrate, Purified, 500 g) was purchased and dissolved in distilled water at a rate of 350 mg/l. The solution was analyzed for lead levels and revealed levels up to 20 mg/l compared to the normal MPL < 15 μg/l.

Bacterial isolates propagation

Escherichia coli O157: H7 suspension (1.8 × 103 CFU/ml) was purchased from Animal Health Research Institute- Ismailia- Egypt. The bacterial suspension was propagated as recommended by Soliman et al. (2021b) into Falcon tubes set with 9 ml of MacConkey broth (Thermo Scientific™ Oxoid™ MacConkey Broth, CM0505, 500 g) at 44°C. 10 microliters from tubes developing the yellow color were dropped aseptically onto eosin methylene blue agar (EMB, Modified Levine Eosin Methylene Blue Thermo ScientificOxoid, CM0069B, 500 g) and incubated at 37°C/24 hours. Escherichia coli typical colonies (metallic green) were counted, picked up, and resuscitated into Falcon tubes set with 9 ml tryptone soy broth (Thermo Scientific™ Oxoid™ Tryptone Soya Broth, CM0129, 500 g) until obtaining 2.4 × 1012 CFU/ml suspension.

Salmonella Typhimurium lyophilized vial (3.4 × 102 CFU) was purchased from Animal Health Research Institute- Cairo. The powder was resuscitated as recommended by Soliman et al. (2021) into Falcon tubes set with 9 ml tetrathionate broth pre-enrichment (Thermo Scientific™ Oxoid™ Tetrathionate Broth Base, CM0029, 500 g) and incubated at 37°C/24 hours. 10 microliters from the pre-enrichment tubes were dropped aseptically onto CHROMagar™ Salmonella plates (BD BBL™ CHROMagar™ Salmonella READY-TO-USE Plated Media) and incubated at 37°C/24 hours. The typical pink colonies were counted, picked up, and resuscitated into Falcon tubes set with 9 ml tryptone soy broth (Thermo Scientific™ Oxoid™ Tryptone Soya Broth, CM0129, 500 g) until obtaining 1.8 × 108 CFU/ml suspension.

Mycoplasma gallisepticum clinical isolates were obtained kindly free of charge from Animal Health Research Institute- Ismailia. The isolates were pre-enriched into Falcone tubes set with 9 ml buffered peptone water (ABI® Phosphate Buffered Saline, PBS, 10 × Concentrated, Sterile, pH 7.4, without CaCl2 and MgCl2, 500 ml) and incubated at 37°C/24 hours. 10 μl from the pre-enrichment tubes were dropped aseptically onto Mycoplasma agar base (HIMEDIA® PPLO Agar Base, M266, 500 g) and incubated at 37°C/24 hours. Typical Mycoplasma fried egg colonies were counted, picked up, and resuscitated into Falcon tubes set with 9 ml tryptone soy broth (Thermo Scientific™ Oxoid™ Tryptone Soya Broth, CM0129, 500 g) until obtaining 1.5 × 105 CFU/ml suspension.

Fungal isolates propagation

Aspergillus niger, T. mentagrophytes, and C. albicans clinical isolates were obtained Kindley from Animal Health Research Institute- Cairo onto malt extract broth (HIMEDIA® Malt Extract Broth Base, M255-500 g). The isolates were pre-enriched as recommended by Soliman et al. (2021) into tryptone soy broth (Thermo Scientific™ Oxoid™ Tryptone Soya Broth, CM0129, 500 g) at 37°C/24-72 hours. One ml was transferred aseptically into enrichment Falcone tubes set with 9 ml of malt extract broth (HIMEDIA® Malt Extract Broth Base, M255-500 g) and incubated at 37°C/24–72 hours. 10 μl from the enrichment tubes were dropped aseptically onto malt extract agar (RPI®; Research Products International, Malt Extract Agar, M21500- 1 kg), and at 37°C/72 hours.

The growing colonies were identified via the morphological appearance, stained with lactophenol cotton blue stain (Hardy Diagnostics® Lactophenol Cotton Blue, Z68, 15 ml), and confirmed by microscopic examinations using a transmitted light microscope (CARL ROCHE® Transmitted light-emitting diodes (LED) light microscope Binocular, OBS-106, 40×–100×, 400×, 4-way, Germany). The colonies were counted, picked up, and resuscitated into Falcon tubes set with 9 ml malt extract broth providing 3.2 × 109 CFU/ml suspensions for each of the three organisms.

In-vitro adsorption activities of tilapia bone powder

One milliliter of Tilapia bone suspension (1 g Tilapia bone powder/l distilled water) was added to three triplets of pre-set 1-l capacity glass conical flasks for each magnesium chloride (100 mg/l) and lead nitrate (350 mg/l). The flask mixes were mixed in a vortex (Vortex Mixer XH-D, 2,800r/m, 30W, Bowel and disk shapes) and after specified intervals of 0.25, 0.5, 1.0, 2.0, and 4.0 hours, water samples were collected and analyzed for the approximate levels of total and calcium hardness measured by mg/l CaCO3 and lead concentrations expressed by mg/l.

The water samples for lead concentrations analysis were preserved using 0.5 ml nitric acid and the lead concentrations (mg/l) were quantified using atomic absorption spectrophotometer (American Public Health Association; APHA, 2012). The total and calcium hardness levels (mg/l CaCO3) were estimated by analyzing the water samples using the ethylene diamine tetra-acetic acid (EDTA) titrimetric method against EDTA solution 0.01 mol/l with aerochrome black-T and merixide powder as pH color indicator, respectively.

The final measured levels of total and calcium hardness, and lead were compared with the initial concentrations at the dissolving time to calculate the reduction percentages in the concentrations concerning exposure times.

In-vitro antimicrobial activities of tilapia bone powder

The in-vitro antibacterial actions of Tilapia bone powder against E. coli O1527:H7 at a rate of 2.4 × 1012 CFU/ml, S. Typhimurium at a rate of 1.8 × 108 CFU/ml, and M. gallisepticum at a rate of 1.5 × 105 CFU/ml, as well as antifungal actions against A. niger, T. mentagrophytes, and C. albicans at a rate of 3.2 × 109 CFU/ml each were evaluated using a 96-micro-well plate minimal inhibitory concentration technique as recommended by Soliman et al. (2016) and Elshikh et al. (2016).

Tilapia bone powder was dissolved in distilled water at a rate of 1% suspension. The Tilapia bone suspension 1% was distributed at a rate of 100 μl on the 96 wells of the microplate. Ten microliters from the bacterial and fungal suspensions were aseptically inoculated as follows: E. coli O157: H7 (2.4 × 1012 CFU/ml) suspension to each well of columns 1:2 (16 wells), S. Typhimurium (1.8 × 108 CFU/ml) suspension to each well of columns 3:4 (16 wells), M. gallisepticum (1.5 × 105 CFU/ml) suspension to each well of columns 5:6 (16 wells), A. niger (3.2 × 109 CFU/ml) suspension to each well of columns 7:8 (16 wells), T. mentagrophytes (3.2 × 109 CFU/ml) suspension to each well of columns 9:10 (16 wells), and C. albicans (3.2 × 109 CFU/ml) suspension to each well of columns 11:12 (16 wells).

At specified intervals of 0.25, 0.5, 1.0, 2.0, and 4.0 hours, 10 μl of Tilapia bone-bacterial and fungal mixes were transferred aseptically into 15-ml Falcon tubes set with 10 ml buffered peptone water (Thermo Scientific™ Oxoid™ Buffered Peptone Water, CM0509B, 500 g). The resuscitation tubes were vortexed and incubated at 37°C/2 hours. Ten microliters from the Falcon tubes were aseptically dropped onto eosin methylene blue, Mycoplasma agar base, CHROMagar, and malt extract agar and incubated at 37°C/24 hours. The growing colonies of E. coli (metallic green), M. gallisepticum (fried egg), S. Typhimurium (pink), A. niger, T. mentagrophytes, and C. albicans were counted using the Dark-field colony counter (R164109 Reichert-Jung Quebec Darkfield 3325 Colony Counter). The antimicrobial efficacies were judged based on the killing percentages of Tilapia bone powder suspension, these killing percentages were calculated based on the number of surviving colonies concerning the initial counts and expressed as a percentage (%) using the following formula:

The initial microbial count Number of Surviving organisms The initial microbial count × 100

The in-vivo activity of tilapia bone powder

Experimental birds’ housing microclimate

A total of 250 1-day-old classic Hubbard chicks were purchased from the Ismailia-Egypt Company at Abousweer city- Ismailia, Egypt. Chicks on their arrival were weighed (W0) and then divided into five groups, 50 birds each (Five replicates of ten birds) into research units supplied with a deep litter system of hay following Soliman and Hassan (2020). The units were adjusted with some biosecurity measures to maintain the broilers’ health after Soliman and Abdallah (2020). These measures included dry cleaning of the units using brooms followed by wet cleaning using water under pressure with quaternary ammonium compound and water again. The disinfection action of the units was carried out in three stages at 24 hours intervals: the first using hypochlorite, the second using sodium hydroxide 5% solution, and the third using formaldehyde spray, the units were then closed for 24 hours, and the latter opened for ventilation. The units were supplied at the entrance area with foot dip filled with commercial carbolic acid 5%, break-back traps for rodent control, fly-proof nets, prohibition for the introduction of wild birds, divided doors for optimizing the restricted access concept, secured food storage areas, and sufficient roomy space for optimizing traffic control inside the units during daily activities such as observation, feeding, and watering of broilers.

The units’ floors were lined with a thin film of superphosphate at a rate of 0.5 g.m−2 before the hay litter usage after Soliman et al. (2018) for optimizing litter abiotic conditions such as acidic pH, reduced ammonia levels, and reduced microbial development. The research units were provided with blue LED lamps of 20 watts and 2,250 lumen to serve for a continuous lighting regimen (23 hours of lighting and one hour of darkness; 23 l: 1D) after Soliman and Hassan (2019). The ventilation act of the units was adjusted based on cross-negative ventilation using V-shaped side-wall windows to serve as air inlets and suction fans on the crossing walls to serve as air outlets with extra ceiling fans to enhance the maximum ventilation act. The units were provided with halogen heaters (Halogen- 4 tubes- 2,400 watt heater, Bravo BR-4T Heater 4 halogen Candles) for maintaining the temperature as recommended by Soliman et al. (2021a).

Experimental birds’ management

The microclimatic temperature was adjusted and maintained for brooding (The 1st week of the fattening cycle) at 35°C in the five rooms by turning on the halogen heaters before the chicks’ arrival to achieve the requested temperature. Later, the heaters’ working hours were reduced gradually to contribute to a non-significant decline in the microclimatic temperature at a rate of 3.5°C weekly until optimized at 25°C by the end of the 3rd week.

Chicks were given ad libitum access to clean tap water that was dechlorinated previously via exposure to sunlight. Broilers were provided with standard corn–soybean ration to meet their nutritional requirements after National Research Council; NRC, (1994) and Applegate and Angel (2014) modifications. The corn-soybean ration was purchased from Veterinary Clinic in Ismailia, Egypt (El-Eman Company, El-Sharkia, Egypt). The starter ration was provided from day 1 to 14 days old and was based on 22.5% protein, 2,910 kcal energy, 3.78% crude fiber, and 5.38% fat. The grower ration was provided from 15 days old until the end of the fattening cycle (39 days) and was based on 21% protein, 3,110 kcal energy, 3.38% crude fiber, and 2.81% fat.

Broiler chickens were immunized by active artificial act using vaccines in clean tap dechlorinated water after deprivation for 4 hours against infectious bronchitis on the 7th day with PESTIKAL B1 SPF H120 ≥ 103.5 live attenuated viruses, infectious bursal disease on the 14th and 21st days with SER-VAC D78 Strain VMG91 ≥103.0 live attenuated viruses, and Newcastle virus disease on the 16th and 26th days with PESTIKAL Lasota ≥106.0 live lentogenic viruses.

Microclimatic conditions such as temperature, relative humidity, ventilation rate, and lighting program were kept under strict observation, as well as broilers for the development of any abnormalities, morbidity rates, and mortality rates (specific and non-specific) during the entire fattening cycle that was designed to last for 39 days.

Water supply and challenge

Chicks were supplemented in a daily regimen with water treated with Tilapia bone powder (1 g/l) for 4–6 hours starting from the 3rd day of the fattening cycle. Polluted water was provided to chicks as follows: the 1st group (G1) was challenged with magnesium chloride polluted water at a rate of 100 mg/l with total hardness levels up to 2,650 mg/l CaCO3 and calcium hardness up to 1,960 mg/l CaCO3, the second group was challenged with lead nitrate polluted water at a rate of 350 mg/l with lead concentrations up to 20 mg/l, the 3rd group (G3) was challenged with E. coli contaminated water at a rate of 2.4 × 1012 CFU/ml, the 4th group was challenged with S. Typhimurium at a rate of 1.8 × ١٠8 CFU/ml, and the 5th group was assigned as a negative control group (non-challenged and non-treated). Polluted water was provided to the broilers weekly on the 7th, 14th, 21st, 28th, and 35th days. On the challenge day, water deprivation for 4 hours was executed to ensure the weekly challenge act. Broilers were supplemented with water treated with Tilapia bone powder (1 g/l) for 4–6 hours after the challenge.

Performance indices (PI)

A random representative sample of about 45 birds per group was weighed weekly (LBW/g) using a digital scale (WONHENG® Computing Electronic Digital Counting Weight Balance Scale, 220 V, 30 kg, Zhejiang Wonheng Industry, and Trade Co., China). The random representative sample size was calculated using a simple random sampling design after Thrusfield and Christley (2018) with an expected error of 5%:

N=(Z1- α/٢)2.p (1-p)/ d2

where (n) was the number of samples, (Z1−α/٢) was the standard normal, (p) was the expected proportion in the population, and (d) was the absolute precision.

The PI were calculated after Soliman and Hassan (2017). These performance indices such as the weight gains (WG/g) were calculated based on the weekly final weight (W*) to the initial weekly weight (W0/W*). Feed (FI/g) and water (WI/ml) intakes were calculated based on proportioning the amount of food and water consumed to the number of live birds in a group. The feed conversion ratios (FCRs) were calculated by proportioning feed intake (FI/g) to weight gains (WG/g). PI was calculated by proportioning body weight (kg) to the FCRs.

Sampling

A total of 2,250 samples were collected during the study periods. The samples were 90 Tilapia-pollutants mixes (2 pollutants × triplets × 3 replicates × 5 sampling times), 480 Tilapia-bacterial/fungal mixes (96 well × 5 sampling times), 240 sera, 240 intestinal (duodenal/cecal) swabs, 1,200 tissue samples such as breast muscles, liver, spleen, heart, and bursa of Fabricius. Intestinal swabs (duodenal and/or cecal) were harvested on 9 ml tryptone soy broth (Thermo Scientific™ Oxoid™ Tryptone Soya Broth, CM0129, 500 g) and preserved in a dry ice box to be transferred to the laboratory for examination within 2–3 hours.

A total of 240 birds (48 per group) were sacrificed after the 39th day of the in-vivo experiment for blood sample collection. Blood samples into serum vacutainer tubes (BD Vacutainer® Serum tubes, 10.0 ml, 16 × 100 mm, Plastic, Additive: Clot Activator, Silicone Coated, Red Conventional Closure, and Paper Label) were held in a water bath (Thermo® water bath Precision series Standard, 20 l, 30°C to 100°C, 392 mm, GP20) at 24°C for 60 minutes and then centrifuged at 3,500 rpm for 10 minutes. The obtained clear sera were pipetted into 2.5 ml Eppendorf tubes with an automatic pipette (Thermo Scientific™ Finnpipette™ Adjustable Volume Single-Channel Micro Pipettor, 100 to 1,000 microliter Volume). The tubes were stored at −20°C for analysis (Soliman et al., 2017).

The carcasses after blood sampling were de-feathered, eviscerated, weighed, and expressed in grams (CW/g). The breast muscles were sampled in a representative way and packed in polyethylene bags at −20°C for the bacteriological examination. Edible organs (liver and heart) and immune organs (spleen and bursa of Fabricius) were harvested from the carcasses and weighed then kept frozen until histopathological examination. Evascirated carcasses after weighing were hygienically disposed of by burial with lime lining all over the burial bits.

Biochemical profile

Sera (n=240) were thawed and examined for some biochemical and antioxidant parameters such as total protein (TP) (g/dl), alanine aminotransferase (ALT) (IU/l), urea (UREA) (mg/dl), creatinine (CREAT) (mg/dl), Glucose (GLUCO) (mg/dl), total cholesterol (TC) (mg/dl), and triglycerides (TG) (mg/dl), total antioxidant capacity (TAC) (mM/l), malondialdehyde (MDA) (nmol/ml), and superoxide dismutase (SOD) (U/ml) calorimetrically using ROCHE® COBAS Integra 400 Plus chemical analyzer. Cortisol hormone; CORT (mcg/dl) and total immunoglobulin G and M concentrations (IgG and IgM, mg/dl) were measured by using ROCHE® ELECSYS 1010 Immunoassay Analyzer.

Bacteriological examination

Frozen tissue samples (breast muscles, n=240) were thawed and placed in the stomacher (Seward® Lab blenders Stomacher®400 circulators, Wales, UK) and then pre-enriched into tryptone soy broth (Thermo Scientific™ Oxoid™ Tryptone Soya Broth, CM0129, 500 g). The pre-enriched tissue samples (n=240) and intestinal swabs (n=240) were subjected to tenfold serial dilutions up to 10−8 using physiological saline as recommended by American Public Health Association; APHA (2017).

Total bacterial, Enterobacteriaceae, and Salmonella counts of tissue samples and intestinal swabs were carried out using the drop plate technique after Kim and Lee (2016). Un-selective total bacterial counts onto standard plate count agar (Thermo Scientific™ Oxoid™ Plate Count Agar, CM0325, 500 g), Enterobacteriaceae counts onto eosin methylene blue agar (Modified Levine Eosin Methylene Blue Thermo Scientific™ Oxoid™, CM0069B, 500 g), and Salmonella counts onto CHROMagar™Salmonella (BD BBL™ CHROMagar™ Salmonella READY-TO-USE Plated Media) were incubated at 37°C for 24 hours. Colonies were counted on the screen of the Dark-field colony counter (R164109 Reichert-Jung Quebec Darkfield 3,325 Colony Counter) after Murray et al. (2015).

Histopathological examination

Tissue samples (n=960) from the liver (n=240), heart (n=240), spleen (n=240), and bursa of Fabricius (n=240) that were harvested from broilers were thawed at room temperature. The samples were fixed in 10% buffered formalin. Specimens were cut into 5-mm thick, put into tissue cassettes, dehydrated by transferring through a series of alcohols with different concentrations, cleared in two changes of xylene, embedded in paraffin wax, cut into 4-μm thick sections, and stained with hematoxylin and eosin (HE) (Bancroff et al., 1990). The histological sections of the examined organs were visualized using a Zeiss Axioplan microscope (Carl Zeiss MicroImaging, Thornwood, NY) under (×40) magnification under (×10) and (×20) magnification and photographed.

Statistical analysis

Statistical analysis was carried out using the Statistical Package for Social Sciences (SPSS version 27.0, IBM Corp, NY, NY) software package (SPSS, 2020). Data were analyzed using multifactorial Analysis of Variance (two-tailed ANOVA) to determine the overall influence of the water pollutants/contaminants (chemical and microbial), broiler’s age, and their interactions. The statistical model utilized in the analysis was as follows:

Yijk=μ + αi + βj + (αβ)ij + εijk

where Yijk was the measurement of dependent variables; μ was the overall mean; αi was the fixed effect of the water pollutants/contaminants (chemical and microbial), βj was the fixed effect of broiler’s age, (αβ)ij was the interactions of the water pollutants by broiler’s age, and εijk was the random error.

Total bacterial, Enterobacteriaceae, and Salmonella counts were transformed and expressed as logarithms (Log) using Microsoft Excel 2016. The results were expressed as highly significant at (p < 0.01), significant at (p ≤ 0.05), and non-significant at (p > 0.05).

Ethical approval

The materials used, protocol, and study design were approved by the Scientific Research Ethics Committee on poultry researches, Faculty of Veterinary Medicine, Suez Canal University, Egypt with approval number (2022012). Broiler chickens were handled in human manners to reduce the suffering and the overwhelming challenges. The number of experimental birds was as minimized as possible and the 3Rs (replacement, reduction, and refinement) were followed to maintain birds’ rights.


Results

In-vitro adsorption and antimicrobial activity

Tilapia bone powder 1% reveals in Table 1 achieving a highly significant (p < 0.01) 100% reduction in the levels of lead (Pb2*) after 1 hour, total hardness levels after 0.5 hours, and calcium hardness levels after 0.5 hours. On the other hand, the antimicrobial activity (Table 1) reveals that Tilapia bone powder achieved 100% killing efficacy against E. coli O1527:H7, S. Typhimurium, M. gallisepticum, A. niger, T. mentagrophytes, and C. albicans after 0.5, 1, 1, 1, 1, and 1 hours, respectively.

Water physicochemical and microbial analysis

The analysis of Tilapia bone powder 1% treated water reveals highly significant (Table 2, p < 0.01) increases in the levels of dissolved oxygen (DO; mg/l), as well as highly significant (p < 0.01) declines in physico-chemical characteristics such as pH, electrical conductivity (EC; μS/cm), total dissolved solids (TDS; mg/l), total alkalinity (T. alkalinity; mg/l), total hardness (T. Hardness; mg/l CaCO3), sulfates (SO4; mg/l), and nitrates (NO3; mg/l); electrolyte such as sodium (Na+; mg/l), potassium (K+; mg/l), calcium (Ca2+; mg/l), magnesium (Mg2+; mg/l), and chloride (Cl; mg/l); heavy metals such as iron (Fe2+; mg/l), copper (Cu2+; mg/l), and zinc (Zn2+; mg/l); and microbial parameters such as total bacterial count (TBC; CFU/ml), total Enterobacteriaceae count (TEC; CFU/ml), and Salmonella count (TSC; CFU/ml) compared with tap water.

The levels of phosphate (PO4; mg/l) and lead (Pb2+, mg/l) in Table 2 reveal no significant differences in Tilapia bone powder 1% treated water compared with tap water.

Table 1. In-vitro adsorption and antimicrobial efficacy (Reduction percentage mean ± SE) of tilapia powder 1% suspension.

Table 2. Water analysis (mean ± SE) in tap and tilapia bone-treated water.

Table 3. Performance indices (mean ± SE) in different groups supplied with tilapia bone powder treated water (1 g/l).

Growth traits

Broiler groups provided with drinking water treated with Tilapia bone powder 1% reveal in Table 3 highly significant (p < 0.01) increases in WG and PI, as well as highly significant (p < 0.01) improvements in FCR, FI, and WI in all challenged groups compared to the control. On a time scale, WG, FCR, PI, FI, and WI reveal highly significant (p < 0.01) increases/improvements in the 4th, 4th, 4th, 5th, and 5th weeks, respectively.

Live, carcasses, and organs weights

Live body and carcasses weights in broiler groups provided with drinking water treated with Tilapia bone powder 1% reveal in Table 4 highly significant (p < 0.01) increases in G4 (challenged S. Typhimurium; 1.8 × 108 CFU), G3 (challenged E. coli O157:H7; 2.4 × 1012 CFU), G1 (challenged with magnesium chloride; 100 mg/l), and G2 (challenged with lead nitrate; 350 mg/l) with no significant differences between the values in G1 and G2.

Liver weights reveal in Table 4 highly significant (p < 0.01) increases in G4 (challenged S. Typhimurium; 1.8 × 108 CFU) and G3 (challenged E. coli O157:H7; 2.4 × 1012 CFU) compared to the other treated groups and the control with no significant differences between the values in the two groups. As shown in Table 4, heart, spleen, and bursa of Fabricius weights reveal highly significant (p < 0.01) increases in G4 (challenged S. Typhimurium; 1.8 × 108 CFU) compared to the other treated groups and the control.

Biochemical profile

As shown in Table 5, broiler groups provided with drinking water treated with Tilapia bone powder 1% reveal highly significant (p < 0.01) improvements of TP, ALT, UREA, CREAT, GLUCO, TG, and TC levels in all treated broiler groups compared to the control group.

Immunoglobulin concentrations

As shown in Table 6, immunoglobulins G concentrations reveal highly significant (p < 0.01) increases in G4 (challenged S. Typhimurium; 1.8 × 108 CFU) and G3 (challenged E. coli O157:H7; 2.4 × 1012 CFU) compared to the other treated groups and the control with no significant differences between the values in the two groups. Meanwhile, IgM concentrations reveal in Table 6 highly significant (p < 0.01) increases in G4 (challenged S. Typhimurium; 1.8 × 108 CFU) compared to the other treated groups and the control.

Table 4. Live, carcass, and organ weights (mean ± SE) in different groups supplied with tilapia bone powder (1 g/l) treated water.

Table 5. Biochemical profile (mean ± SE) in different groups supplied with tilapia bone powder (1 g/l) treated water.

Table 6. Immunoglobulin concentrations and stress markers (mean ± SE) in different groups supplied with tilapia bone powder (1 g/l) treated water.

Table 7. Logarithmic bacterial counts (mean ± SE) in different groups supplied with tilapia bone powder (1 g/l) treated water.

Stress markers

Cortisol hormone reveals in Table 6 highly significant (p < 0.01) declines in all treated broiler groups compared to the control group. Antioxidant enzymes such as TAC, MDA, and SOD levels reveal in Table 6 highly significant (p < 0.01) increases in all broilers provided with drinking water treated with Tilapia bone powder 1% compared to the control.

Bacteriological assessments

Tilapia bone powder 1% treated water in Table 7 reveals highly significant (p < 0.01) declines in total bacterial counts of intestinal swabs (TBCi) and breast muscles (TBCb), total Enterobacteriaceae counts of intestinal swabs (TECi), and breast muscles (TECb), and TSC in all challenged broiler groups compared to the control group.

Histopathological examination

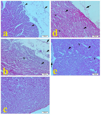
Photomicrographs of the liver reveal severe congestion of the central vein, as well as hepatic cells, showed severe degeneration with severe vacuolation of cytoplasm and moderate leukocytic infiltration (Fig. 1a) in broilers challenged with magnesium chloride (100 mg/l) compared to control in Figure 1c. Figure 1b reveals congestion of blood vessels of the portal area with severe leukocytic infiltration. Hepatic cells showed degeneration with cytoplasmic vacuolation in broilers challenged with lead nitrate (350 mg/l). Mild congestion of central vein with hemosiderosis, hepatocytes showed mild vacuolar degeneration with mild leukocytic infiltration was recorded in Figure 1d in broilers challenged with E. coli O157:H7 (2.4 × 1012 CFU) compared to control in Figure 1c. Figure 1e reveals congestion of blood vessels of the portal area and degeneration of the portal area with moderate focal leukocytic infiltration compared to control in Figure 1c. Hepatocytes showed moderate cytoplasmic vacuolation in broilers challenged with S. Typhimurium (1.8 × 108 CFU) compared to the control (Fig. 1c).

Heart photomicrographs revealed in Figure 2a, fibrinous pericarditis and degeneration of cardiac muscle with mononuclear cell infiltration in broilers challenged with magnesium chloride (100 mg/l) compared to control in Figure 2c. Moderate pericarditis and mild myocardial degeneration with leukocytic infiltration were recorded in Figure 2b in broilers challenged with lead nitrate (350 mg/l) compared to the control in Figure 2c. Heart of broilers challenged with E. coli O157:H7 (2.4 × 1012 CFU) reveal in Figure 2d mild pericarditis, myocardial degeneration with mild hemorrhage, vacuolation of cytoplasm, and leukocytic infiltration compared to control in Figure 2c. Figure 2e of broilers challenged with S. Typhimurium (1.8 × 108 CFU) reveals mild pericarditis, myocardium showed mild degeneration with congestion, mild hemorrhage, vacuolation of cytoplasm, and leukocytic infiltration compared to control in Figure 2c.

Fig. 1. Histopathological section of the liver by HE staining (20×): (a) Liver of broilers challenged with magnesium chloride (100 mg/l) showing congestion of central vein (C), mononuclear cell infiltration (arrowhead), and vacuolation of cytoplasm (V). (b) Liver of broilers challenged with lead nitrate (350 mg/l) showing congestion of central vein (C), vacuolation of cytoplasm (V), and severe mononuclear cell infiltration (arrowhead). (c) Liver of control-negative broiler chickens. (d) Liver of broilers challenged with E. coli O157:H7 (2.4 × 1012 CFU). € Liver of broilers challenged with Salmonella Typhimurium (1.8 × 108). Bar 50 μm.

Fig. 2. Histopathological section of heart by HE staining (20×): (a) Heart of broilers challenged with magnesium chloride (100 mg/l) showing fibrinous pericarditis (arrow) and mononuclear cell infiltration (arrowhead). (b) Heart of broilers challenged with lead nitrate (350 mg/l). (c) Heart of control-negative broiler chickens. (d) Heart of broilers challenged with E. coli O157:H7 (2.4 × 1012 CFU). € Heart of broilers challenged with Salmonella Typhimurium (1.8 × 108). Bar 100 μm.

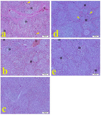
Photomicrographs of the spleen reveal in Figure 3a, mild lymphoid depletion, congestion of splenic sinus, and hemorrhage with hemosiderosis in broilers challenged with magnesium chloride (100 mg/l) compared to control in Figure 3c. Broilers challenged with lead nitrate (350 mg/l) reveal in Figure 3b, mild lymphoid depletion with severe congestion of splenic sinus and severe hemorrhage compared to control in Figure 3c. The spleen of broilers challenged with E. coli O157:H7 (2.4 × 1012 CFU) reveals in Figure 3d, mild hemorrhage with hemosiderosis, while in broilers challenged with S. Typhimurium (1.8 × 108 CFU) reveals in Figure (3e), mild depletion with mild hemorrhage compared to control in Figure 3c.

Bursa of Fabricius reveals in Figure 4a, mild lymphocytic depletion of lymphoid follicles in broilers challenged with magnesium chloride (100 mg/l) compared to control in Figure 4c. Bursa of Fabricius of broilers challenged with lead nitrate (350 mg/l) reveals in Figure 4b normal follicular epithelium with moderate lymphoid depletion of follicles compared to control in Figure 4c. Bursa of Fabricius of broilers challenged with E. coli O157:H7 (2.4 × 1012 CFU) revealed in Figure 4d normal follicular epithelium and lymphoid follicles compared to control in Figure 4c. Normal follicular epithelium with moderate lymphoid depletion of follicles was recorded in Figure 4e in the Bursa of Fabricius of broilers challenged with S. Typhimurium (1.8 × 108 CFU) compared to control in Figure 4c.

Fig. 3. Histopathological section of the spleen by HE staining (20×): (a) Spleen of broilers challenged with magnesium chloride (100 mg/l) showing depletion of lymphocytes (D), congestion of splenic sinus (C), hemorrhage (H), and hemosiderosis (yellow arrow). (b) The spleen of broilers was challenged with lead nitrate (350 mg/l). (c) The spleen of control-negative broiler chickens. (d) The spleen of broilers challenged with E. coli O157:H7 (2.4 × 1012 CFU). € The spleen of challenged with Salmonella Typhimurium (1.8 × 108). Bar 100 μm.


Discussion

Water represents an important requirement for all living organisms, as well as affects immune functions and homeostasis in broiler chickens (More-Bayona et al., 2020). Water absence shortened the survival time among the broiler chickens (Abbas et al., 2010). Broilers have to be supplied with a safe and plentiful amount of water of good quality for its influences on food intake and digestion, body temperature, nutritive transportation, and waste excretion (Manwar et al., 2012). Water quality is an inter-relational factor in the multi-factorial nature that influence broiler health including management procedures, type and design of the house, housing microclimatic conditions, and equipment (Abdullah, 2011). Recently many water contaminants had the opportunity to enter water bodies and streams contributing to water pollution (Goswami et al., 2021). Water is a favorable medium for the growth and multiplication of many microorganisms and is mostly pathogenic with zoonotic significance. The comfort thermoneutral zone and low flow rates of water inside broiler housing usually encourage the growth and multiplication of micro-organisms, which is why many breeders tend to use some antibiotics in the water system to minimize microbial survival (Maharjan et al., 2016; Maes et al., 2019). The extensive use of antibiotics contributed to a resistance build-up in the micro-organisms causing diseases and potential eco-system imbalance (Becerra-Castro et al., 2015).

Fig. 4. Histopathological section of bursa of fabricius by HE staining (20×): (a) bursa of fabricius of broilers challenged with magnesium chloride (100 mg/l) showing depletion of lymphocytes (D). (b) bursa of fabricius of broilers challenged with lead nitrate (350 mg/l). (c) bursa of fabricius of control-negative broiler chickens. (d) bursa of fabricius of broilers challenged with E. coli O157:H7 (2.4 × 1012 CFU). (e) bursa of fabricius of challenged with Salmonella Typhimurium (1.8 × 108). Bar 100 μm.

Fish waste is known for its high content of water and enzymes making it very hazardous to the environment, which is why this waste has to be disposed of hygienically via burial or incineration (de Medeiros et al., 2019). Fish waste can be better used for many applications such as fuel, medical, and water treatment. The medical application as reported by Júnior et al. (2020) and Ge et al. (2020) included burn injuries, reduce pain, reduction of the dressing rate under anesthesia, and wound healing and all these uses were attributed to collagen and gelatin contents, fibroblast growth factor, and epidermal growth factor. The HAp derived from fish with all its active sites showed significant capabilities as filter media and efficient adsorbent (Liaw et al., 2020). Tilapia bone is known for its natural content of some trace elements such as sodium (Na+), magnesium (Mg+2), zinc (Zn+2), and potassium (K+) giving the Tilapia fish bone advantageous importance for its use as a feed supplement and efficient adsorbent (Niakan et al., 2015; Weeraphat et al., 2016).

In this study, polluted water samples were treated using Tilapia bone powder to reduce pollutant levels which might contribute to harmful effects as they are non-biodegradable and can be accumulated in living tissues, causing various diseases and negative impacts on the environment. Tilapia bones can be used as a material for the removal or decrease of pollutants where Tilapia bone powder of 1% in this study reveals a highly significant 100% reduction in the lead after 1 hour, total and calcium hardness levels after 0.5 hours, as well as 100% killing efficacy against E. coli O1527:H7, S. Typhimurium, M. gallisepticum, A. niger, T. mentagrophytes, and C. albicans after 0.5, 1, 1, 1, 1, and 1 hours respectively. The results were compared with those of Omar et al. (2019) and Wang et al. (2017) who attributed the high adsorptive efficacy of Tilapia bones to the presence of HAp which processes hydroxyl (OH) and phosphate (PO43−) groups providing the capability to adsorb various heavy metal ions in water effectively. Alparslan et al. (2017), Marinah et al. (2017), and Othman and Zayadi (2016) also stated that HAp from fish bones and scales acts as a powerful adsorbent for heavy metals with special reference to lead from different sources as the presence of calcium ions (Ca2+) on HAp surface enhances the ion exchange between calcium and lead causing the high reduction of lead from the water. The action of HAp of Tilapia fish bone as an adsorbent as reported by Avram et al. (2017) is a multifactorial process including the initial lead concentrations, pH of the media, the microclimatic temperature, and the concentration of HAp ions. Ferri et al. (2019); Hao et al. (2017); Liu et al. (2017) showed that only 0.008 g of HAp is required to contribute to 99.5% adsorption of lead at an appropriate pH (2.2 to 5.0). The antimicrobial action of Tilapia bone was attributed to the shifting of the pH in the media making the conditions unfavorable for the growth and multiplication of micro-organisms.

The current results revealed that Tilapia bone powder 1% treated water showed highly significant increases in the levels of dissolved oxygen and highly significant declines in physicochemical characteristics, electrolytes, heavy metals, and microbial parameters compared with tap water. Nasiebanda et al. (2020 and Nematidil and Sadeghi (2019) reported that fish bone can be considered an adsorbent of low cost for treating wastewater and removal of some pollutants by up to 99%. Mitra et al. (2018) also showed that HAp biochar can be produced from Tilapia bone using carbonization at 550°C with high adsorptive power against heavy metals and dyes in water and wastewater. Olay et al. (2019) revealed the presence of a large amount of hydroxyl group in HAp derived from fish contributing to a significant increase of the active adsorbing sites for the heavy metals like lead, arsenic, copper, cadmium, and mercury with adsorption capability of 162.4 mg/g for copper and 128.7 mg/g for cadmium. Sricharoen et al. (2021) also reported a high adsorption capability of HAp derived from fish of up to 227.2 mg/g.

Broilers provided with drinking water treated with Tilapia bone powder 1% reveal highly significant increases in weight gains, PI, live body weights, carcasses, and organs weights, immunoglobulin concentrations, and antioxidant levels, as well as highly significant improvements in feed conversions, feed and water intakes, biochemical profile, cortisol hormone, and intestinal bacterial counts in all challenged groups compared to the control. The results were consistent with those of Kalita et al. (2021), Saidy et al. (2015), and Ibitoye et al. (2013) who reported that supplementing broilers with water treated using Tilapia bone contributed to significant increases in body weights and enhanced FCRs compared to the un-treated rain and well water. Jacobs et al. (2020) found that providing broiler chickens with sanitized and treated water using activated ClO2 or some alternative biological and natural products could improve the body weights, carcasses quality, and the immune response in broiler chickens in clean or challenged microclimatic environment. Lee et al. (2022) reported the treating influence of Tilapia bone for the drinking and wastewater and producing water of high quality associated with immunostimulant and maintained hemostasis and they attributed these influences to the high content of Tilapia bone with HAp.

Thaib et al. (2021) evaluated triggerfish bone charcoal (1%, 2%, and 3%) influence on the performance and intestines of 240 Tilapia fingerlings and found that 3% charcoal contributed to enhanced length of intestinal villi up to 71.11 μm from the initial length and higher FCRs with the best feed efficiencies. Azhari et al. (2020) revealed that using fishbone as a feed supplement contributed to significant improvement in performance and blood profile (RBCs, WBCs, hemoglobin, platelets, and hematocrit) in Tilapia fish, as well as enhanced nutrient absorption and increase feed efficiency. Liao et al. (2020) recommended the use of peptides isolated from Tilapia bone as a supplement to enhance calcium absorption and in turn improve performance and production.


Conclusion

The in-vitro activity of Tilapia bone powder 1% revealed achieving a 100% reduction in the levels of lead, total hardness, and calcium hardness after 1, 0.5, and 0.5 hours respectively, as well as achieved 100% killing efficacy against E. coli O1527:H7, S. Typhimurium, M. gallisepticum, A. niger, T. mentagrophytes, and C. albicans after 0.5, 1, 1, 1, 1, and 1 hours, respectively.

Tilapia bone powder 1% enhanced the water’s physicochemical characteristics by increasing dissolved oxygen levels and decreasing pH, electrical conductivity, total dissolved solids, total alkalinity, total hardness, sulfates, nitrates, electrolytes (Na+, K+, Ca2+, Mg2+, and Cl), heavy metals (Fe2+, Cu2+, and Zn2+), and microbial (total bacterial, Enterobacteriaceae, and Salmonella counts) levels.

The in-vivo study showed that Tilapia bone powder 1% revealed significant increases in weight gains, PI, live body weights, carcasses weights, organs weights, immunoglobulin concentrations, antioxidant parameters, as well as significant improvements in FCRs, feed and water intakes, biochemical parameters, and tissue architecture and cellular photomicrographs in all challenged groups. Tilapia bone powder 1% also revealed significant declines in cortisol hormone levels, total bacterial counts, Enterobacteriaceae counts, and Salmonella counts in all challenged and treated broiler groups.


Authors’ contributions

E.S.S. designed and executed the in-vitro and in-vivo studies’ design, participated in the examinations (water analysis, biochemical profile, antioxidant analysis, and bacteriological examinations), provided a hand in the histopathological examination, and took a part in writing and reviewing the final edit of the manuscript. R.H.A. executed the PI recording and calculation, determined carcass and organ weights, participated in the biochemical and antioxidant analysis, and took a part in writing the manuscript. D.S.F. participated in the water examination, and biochemical and antioxidant analysis, and took a part in writing the manuscript.


Acknowledgment

Honorable thanks should be provided to Dr. Mohamed, OF for her contributions and help in the experiment and laboratory examinations.

Funding

The authors received no financial support for the research, authorship, and/or publication of this article. The authors funded the study.

Conflict of interest

The authors declare that they have no financial or personal conflicts which may have inappropriately influenced them in writing this manuscript.


References

Abbas, T.E.E., ELzubeir, E.A., Arabbi, O.H. and Mohamed, H.E. 2010. Drinking water quality 1: effects on broiler chicks performance during summer season. Res. J. Anim. Vet. Sci. 5, 58–63.

Abdullah, A.M. 2011. Impact of different locations water quality in Basra province on the performance and physiological changes in broiler chicks. Pak. J. Nutr. 10(1), 86–94.

Alparslan, Y., Baygar, T. and Baygar, T. 2017. Extraction, characterization and antimicrobial activity of hydroxyapatite from seabass and seabream scale. J. Food. Health. Sci. 3(3), 90–96.

American Public Health Association, American Water Works Association, Water Environment Federation. 2012. Standard methods for the examination of water and wastewater, 22nd ed. Washington, DC: American Water Work Association Publications.

American Public Health Association, American Water Works Association, Water Environment Federation. 2017. Standard methods for the examination of water and wastewater, 23rd ed. Eds., Rice, E,W., Baird, R.B., Eaton, A.D. Washington, DC: American Water Work Association Publications.

Applegate, T.J. and Angel, R. 2014. Nutrient requirements of poultry publication: history and need for an update. Appl. Poult. Res. 23(3), 567–575.

Avram, A., Frentiu, T., Horovitz, O., Mocanu, A., Goga, F. and Tomoaia-Cotisel, M. 2017. Hydroxyapatite for removal of heavy metals from wastewater. Stud. Univ. Babes. Bolyai. Chem. 62(4), 93–104.

Azhari, M., Handayani, L. and Nurhayati, N. 2020. Pengaruh penambahan arang aktif tulang ikan pada pakan terhadap gambaran darah ikan nila (Oreochromis niloticus). J. Tilapia. 1(2), 19–27.

Bancroff, J.P., Stevenes, A. and Turner, D.R. 1990. Theory and practice of histological techniques, 3rd ed. Edinburgh, UK: Churchill Livingston.

Becerra-Castro, C., Lopes, A.R., Vaz-Moreira, I., Silva, E.F., Manaia, C.M. and Nunes, O.C. 2015. Wastewater reuse in irrigation: a microbiological perspective on implications in soil fertility and human and environmental health. Environ. Int. 75(February 2015), 117–135.

Boscolo, W.R., Hayashi, C., Feiden, A., Meurer, F. and Signor, A.A. 2008. Composiç~ao química e digestibilidade aparente da energia e nutrientes da farinha de resí- duos da indústria de filetagem de tilapias, para a tilapia do nilo (Oreochromis niloticus) (in Portuguese). Cienc. Rural. 38(9), 2579–2586.

de Medeiros, E.F., Vieira, B.M., Audio, C., de Pereira, M.P., Ezar Nadaleti, W.C., Quadro, M.S. and Andreazza, O. 2019. Production of biodiesel using oil obtained from fish processing residue by conventional methods assisted by ultrasonic waves: heating and stirring. Renew. Energy. 143(C), 1357–1365.

Dotto, G.L. and McKay, G. 2020. Current scenario and challenges in adsorption for water treatment. J. Environ. Chem. Eng. 8(4), 103988.

Ebrahimi, A., Arami, M. and Bahrami, H. 2013. Fish bone as a low-cost adsorbent for dye removal from wastewater: response surface methodology and classical method. Environ. Model. Assess; DOI 10.1007/s10666-013-9369-z.

Elshikh, M., Ahmed, S., Funston, S., Dunlop, P., McGaw, M., Marchant, R. and Banat, I.M. 2016. Resazurin-based 96-well plate microdilution method for the determination of minimum inhibitory concentration of biosurfactants. Biotechnol. Lett. 38(6), 1015–1019.

Ferri, M., Campisi, S., Scavini, M., Evangelisti, C., Carniti, P. and Gervasini, A. 2019. In-depth study of the mechanism of heavy metal trapping on the surface of hydroxyapatite. Appl. Surf. Sci. 475, 397–409.

Food and Agriculture Organization (FAO). 2020. FAO fisheries & aquaculture – cultured aquatic species information programme - Oreochromis niloticus (Linnaeus, 1758). Available via https://www.fao.org/fishery/en/culturedspecies/Oreochromis_niloticus/en

Ge, B., Wang, H., Li, J., Liu, H., Yin, Y., Zhang, N. and Qin, S. 2020. Comprehensive assessment of Nile tilapia skin (Oreochromis niloticus) collagen hydrogels for wound. Mar. Drugs. 18(4), 178.

Goswami, L., Kumar, R.V., Pakshirajan, K. and Pugazhenthi, G. 2019. A novel integrated biodegradation—microfiltration system for sustainable wastewater treatment and energy recovery. J. Hazard. Mater. 365, 707–715.

Hao, L., Lv, Y. and Song, H. 2017. The morphological evolution of hydroxyapatite on high-efficiency Pb2+ removal and antibacterial activity. Microchem. J. 135, 16–25.

Hussain, S., Gul, S., Miwa, D.W. and Motheo, A.J. 2017. Photo-assisted electrochemical degradation of sulfamethoxazole using a Ti/Ru 0.3Ti 0.7 O2 anode: mechanistic and kinetic features of the process. J. Environ. Manag. 201, 153–162.

Ibitoye, E.B., Dabai, Y.U. and Mudi, L. 2013. Evaluation of different drinking water sources in Sokoto North-West Nigeria on performance, carcass traits and haematology of broiler chickens. Vet. World. 6(11), 879–883.

Jacobs, L., Persia, M.E., Siman-Tov, N., McCoy, J., Ahmed, M., Lyman, J. and Good, L. 2020. Impact of water sanitation on broiler chicken production and welfare parameters. J. Appl. Poult. Res. 29(1), 258–268.

Júnior, E.M.L., de Moraes Filho, M.O., Forte, A.J., Costa, B.A., Fechine, F.V., Alves, A.P.N.N., de Moraes, M.E.A., Rocha, M.B.S., Júnior, F.R.S., do Nascimento Soares, M.F.A., Bezerra, A.N., Martins, C.B. and Mathor, M.B. 2020. Pediatric burn treatment using tilapia skin as a xenograft for superficial partial-thickness wounds: a pilot study. J. Burn. Care. Res. 41(2), 241–247.

Kalita, S., Mahanta, J.D., Sapcota, D., Saikia, R., Borah, M.C., Laskar, S. and Deka, P. 2021. Effect of different sources of drinking water on the performance of commercial broiler chicken. Pharma. Innov. J. SP-10(8S), 67–69.

Kim, S.K. and Lee, J.H. 2016. Biofilm modeling systems. Korean. J. Microbiol. 52(2), 125–139.

Lapointe, M., Farner, J.M., Hernandez, L.M. and Tufenkji, N. 2020. Understanding and improving microplastic removal during water treatment: impact of coagulation and flocculation. Environ. Sci. Technol. 54(14), 8719–8727.

Lee, T.C., Mohd Puad, N.A.S., Alipal, J., Muhamad, M.S., Basri, H., Idris, M.I. and Abdullah, H.Z. 2022. Tilapia wastes to valuable materials: a brief review of biomedical, wastewater treatment, and biofuel applications. Mater. Today. Proc. 57(3), 1389–1395.

Li, P. and Qian, H. 2018. Water resource development and protection in loess areas of the world: a summary to the thematic issue of water in loess. Environ. Earth. Sci. 77(24), 1–11.

Li, P., Qian, H. and Zhou, W. 2017. Finding harmony between the environment and humanity: an introduction to the thematic issue of the silk road. Environ. Earth. Sci. 76(3), 105.

Liao, W., Chen, H., Jin, W., Yang, Z., Cao, Y. and Miao, J. 2020. Three newly isolated calcium-chelating peptides from tilapia bone collagen hydrolysate enhance calcium absorption activity in intestinal Caco-2 cells. J. Agric. Food. Chem. 68(7), 2091–2098.

Liaw, B.S., Chang, T.T., Chang, H.K., Liu, W.K. and Chen, P.Y. 2020. Fish scale-extracted hydroxyapatite/chitosan composite scaffolds fabricated by freeze casting- an innovative strategy for water treatment. J. Hazard. Mater. 382, 121082.

Lin, J., Lin, F., Liu, R., Li, P., Fang, S., Ye, W. and Zhao, S. 2020. Scalable fabrication of robust superhydrophobic membranes by one-step spray-coating for gravitational water-in-oil emulsion separation. Separ. Purif. Technol. 231, 115898.

Liu, W.K., Liaw, B.S., Chang, H.K., Wang, Y.F. and Chen, P.Y. 2017. From waste to health: synthesis of hydroxyapatite scaffolds from fish scales for lead ion removal. J. Miner. Metals. Mater. Soc. 69(4), 713–718.

Maes, S., Vackier, T., Huu, S.N., Heyndrickx, M., Steenackers, H., Sampers, I., Raes, K., Verplaetse, A. and De Reu, K. 2019. Occurrence and characterization of biofilms in drinking water systems of broiler houses. BMC. Microbiol. 19(1), 77.

Maharjan, P., Clark, T., Kuenzel, C., Foy, M.K. and Watkins, S. 2016. On farm monitoring of the impact of water system sanitation on microbial levels in broiler house water supplies. J. Appl. Poult. Sci. 25(2), 266–271.

Manwar, S.J., Awandkar, S.P., Munde, V.K. and Waskar, V.S. 2012. Effect of different sources of drinking water and commercially treated water on the performance of broiler chicken. Indian. J. Poult. Sci. 47(1), 60–63.

Marinah, M.A., Norhafiza, I.Y. and S.H. 2017. Synthesis and characterization of hydroxyapatite from bulk seashells and its potential usage as lead ions. Malaysian. J. Anal. Sci. 21(3), 571–584.

Martins, M.E., Claudino, R.L., Morais, J.P.S., Cassales, A.R., Alexandre, L.C., de Souza, B.W.S., de Alcântara, L.O., de Sousa, J.R. and de Souza Filho, M. 2015. Obtenção de Gelatina a partir de Escama de Tilápia (Oreochromis niloticus): características Químicas e Físico-químicas. Bol. Pesqui. Número, 108, Embrapa 23.

Matsushita, T., Morimoto, A., Kuriyama, T., Matsumoto, E., Matsui, Y., Shirasaki, N., Kondo, T., Takanashi, H. and Kameya, T. 2018. Removals of pesticides and pesticide transformation products during drinking water treatment processes and their impact on mutagen formation potential after chlorination. Water. Res. 138, 67–76.

Mitra, P., Pal, D.K. and Das, M. 2018. Does quality of drinking water matter in kidney stone disease: a study in West Bengal, India. Invest. Clin. Urol. 59(3), 158–165.

Modenes, A.N., Bazarin, G., Borba, C.E., Locatelli, P.P., Borsato, F.P., Pagno, V., Pedrini, R., Trigueros, D.E.G., Espinoza-Quinones, F.R. and Scheufele, F.B. 2021. Tetracycline adsorption by tilapia fish bone-based biochar: mass transfer assessment and fixed-bed data prediction by hybrid statistical-phenomenological modeling. J. Clean. Prod. 279, 123775.

Mohamed, O.F., Hussein, M.M. and Soliman, E.S. 2020. In-vitro antimicrobial activity and adsorption adequacy of natural clay against some air and water pollutants. Adv. Anim. Vet. Sci. 8(12), 1367–1379.

More-Bayona, J.A., Torrealba, D., Thomson, C., Wakaruk, J. and Barreda, D.R. 2020. Differential effects of drinking water quality on phagocyte responses of broiler chickens against fungal and bacterial challenges. Front. Immunol. 11, 584.

Murray, P.R., Rosenthal, K.S. and Pfaller, M.A. 2015. Medical microbiology, 8th ed., Philadelphia, PA: Elsevier Health Sciences.

Nakazawa, Y., Abe, T., Matsui, Y., Shinno, K., Shirasaki, N. and Matsushita, T. 2021. Differences in removal rates of virgin/decayed microplastics, viruses, activated carbon, and kaolin/montmorillonite clay particles by coagulation, flocculation, sedimentation, and rapid sand filtration during water treatment. Water. Res. 203, 117550.

Nasiebanda, R., Wamalwa, E. and Lusweti, K. 2020. Adsorption of fluoride from water by use of powdered tilapia fish scales. Afr. Environ. Rev. J. 4(1), 145–158.

National Research Council (NRC). 1994. Nutrient requirements for poultry. 9th ed. New York, NY: National Research Council.

Nematidil, N. and Sadeghi, M. 2019. Fabrication and characterization of a novel biosorbent and its evaluation as adsorbent for heavy metal ions. Polym. Bull. 76(10), 5103–5127.

Niakan, A., Ramesh, S., Ganesan, P., Tan, C.Y., Purbolaksono, C.Y., Hari, C., Ramesh, S. and Teng, W.D. 2015. Sintering behaviour of natural porous hydroxyapatite derived from bovine bone. Ceram. Int. 41(2PB), 3024–3029.

Olay, J., Ambas, K., Glino, N., Rubi, V.R., Orbecido, A., Bungay, V., Beltran, A. and Aviso, K. 2019. Production of composite membrane from waste kappa-carrageenan and tilapia (Oreochromis niloticus) fishbone. MATEC. Web. Conf. 04014.

Omar, S. Muhamad, M.S., Chuan, L.T., Hadibarata, T. and Teh, Z.C. 2019. A review on lead sources, occurrences, health effects, and treatment using hydroxyapatite (HAp) adsorbent made from fish waste. Water. Air. Soil. Pollu. 230(12), 1–21.

Othman, N. and Zayadi, N. 2016. Waste fish scale as cost effective adsorbent in removing zinc and forum ion in wastewater. ARPN. J. Engin. Appl. Sci. 11(3), 1584–1592.

Parra, K.N., Gul, S., Aquino, J.M., Miwa, D.W. and Motheo, A.J. 2016. Electrochemical degradation of tetracycline in artificial urine medium. J. Solid. State. Electrochem. 20(4), 1001–1009.

Peng, Z., Hou, H., Zhang, K. and Li, B. 2017. Effect of calcium-binding peptide from Pacific cod (Gadus macrocephalus) bone on calcium bioavailability in rats. Food. Chem. 221, 373–378.

Piencenaves, J.M. 2013. Production and evaluation of carbonated calcium phosphate bioceramic powder from janitor Fish (Pterygoplitchys disjunctivus) bones. Available via https://www.academia.edu/7770834/Production_and_Evaluation_of_Carbonated_Calcium_Phosphate_Bioceramic_Powder_from_Janitor_Fish_Pterygoplitchys_disjunctivus_Bones

Raval, N.P., Shah, P.U. and Shah, N.K. 2016. Adsorptive removal of nickel (II) ions from aqueous environment: a review. J. Environ. Manage. 179, 1–20.

Saidy, E.L.N., Mohamed, R.A. and Abouelenien, F. 2015. Assessment of variable drinking water sources used in Egypt on broiler health and welfare. Vet. World. 8(7), 855–864.

Singh, N.B., Nagpal, G., Agrawal, S. and Rachna. 2018. Water purification by using adsorbents: a review. Environ. Technol. Innov. 11, 187–240.

Soliman, E.S. and Abdallah, M.S. 2020. Assessment of biosecurity measures in broiler’s farms in the Suez Canal area – Egypt using a seasonal prevalence of Salmonellosis. Vet. World. 13(4), 622–632.

Soliman, E.S. and Hassan, R.A. 2019. Impact of lighting color and duration on productive performance and Newcastle disease vaccination efficiency in broiler chickens. Vet. World. 12(7), 1052–1059.

Soliman, E.S. and Hassan, R.A. 2020. Influence of housing floor on air quality, growth traits, and immunity in broiler chicken farms. Adv. Anim. Vet. Sci. 8(9), 997–1008.

Soliman, E.S. and Hassan, R.A., 2017. Evaluation of superphosphate and meta-bisulfide efficiency in litter treatment on productive performance and immunity of broilers exposed to ammonia stress. Adv. Anim. Vet. Sci. 5(6), 253–259.

Soliman, E.S., Ali, A.A. and Gafaar, R.E.M. 2021a. Impact of heating systems on air and litter quality in broiler houses, performance, behavior, and immunity in broiler chickens. Adv. Anim. Vet. Sci. 9(2), 301–314.

Soliman, E.S., Hamad, R.T. and Abdallah, M.S. 2021b. Preventive antimicrobial action and tissue architecture ameliorations of Bacillus subtilis in challenged broilers. Vet. World. 14(2), 523–536.

Soliman, E.S., Hamad, R.T. and Ahmed, A., 2017. Prophylactic and immune modulatory influences of Nigella sativa Linn. in broilers exposed to biological challenge. Vet. World. 10(12), 1447–1455.

Soliman, E.S., Hamad, R.T. and Hassan, R.A. 2021c. Moderations in performance, immunity, tissue architecture, and vaccine viability induced by water magnetization in broiler farms. Vet. World. 14(6), 1695–1710.

Soliman, E.S., Hassan, R.A. and Farid, D.S. 2021d. The efficiency of natural-ecofriendly clay filters on water purification for improving performance and immunity in broiler chickens. Open. Vet. J. 11(3), 483–499.

Soliman, E.S., Moawed, S.A. and Ziaan, A.M.G. 2016. Assessing cleaning and disinfection regime in a slaughterhouse against carcasses contamination. Adv. Anim. Vet. Sci. 4(9), 449–457.

Soliman, E.S., Reddy, P.G., Sobieh M.A.A., Busby, H. and Rowe, S.E. 2009a. Epidemiological surveillance on environmental contaminants in poultry farms. Inter. J. Poult. Sci. 8(2), 151–155.

Soliman, E.S., Sallam, N.H. and Abouelhassan, E.M. 2018. Effectiveness of poultry litter amendments on bacterial survival and Eimeria oocyst sporulation. Vet. World. 11(8), 1064–1073.

Soliman, E.S., Sobieh M.A.A., Ahmad, Z.H., Hussein, M.M., Abdel-Latiff, H. and Moneim, A.A. 2009b. Seasonal epidemiological surveillance on bacterial and fungal pathogens in broiler farms in Egypt. Inter. J. Poult. Sci. 8(8), 720–727.

SPSS. 2020. IBM SPSS Statistics for Windows, Version 27.0. Armonk, NY: IBM Corp. Available via https://www.ibm.com/support/pages/spss-statistics-210-available-download

Sricharoen, P., Kongsri, S., Kukusamude, C., Areerob, Y., Nuengmatcha, P., Chanthai, S. and Limchoowong, N. 2021. Ultrasound-irradiated synthesis of 3-mercaptopropyl trimethoxysilane-modified hydroxyapatite derived from fish-scale residues followed by ultrasound-assisted organic dyes removal. Sci. Rep. 11, 1–11.

Su, F., Wu, J. and He, S. 2019. Set pair analysis (SPA)-Markov chain model for groundwater quality assessment and prediction: a case study of Xi’an City, China. Hum. Ecol. Risk. Assess; DOI: https://doi.org/10.1080/10807039.2019.1568860

Szczepanik, B. 2017. Photocatalytic degradation of organic contaminants over clay-TiO2 nanocomposites: a review. Appl. Clay. Sci. 141(C), 227–239.

Thaib, A., Handayani, L., Hanum, A., Nurhayati, N. and Syaphutra, F. 2021. Evaluating the addition of starry triggerfish (Abalistes stellaris) bone charcoal as a feed supplement to the growth performance and intestinal villi length of Nile tilapia (Oreochromis niloticus). J. Ilmu-Ilmu. Perairan, Pesisir dan Perikanan 10(2), 194–200.

Thrusfield, M. and Christley, R. 2018. Veterinary epidemiology, 4th ed. London, UK: Blackwell Science Ltd,; pp: 214–256.

Tian, R. and Wu, J. 2019. Groundwater quality appraisal by improved set pair analysis with game theory weightage and health risk estimation of contaminants for Xuecha drinking water source in a loess area in Northwest China. Hum. Ecol. Risk. Assess; DOI: https://doi.org/10.1080/10807039.2019.1573035

Tveteras, R., Nystoyl, R. and Jory, D.E. 2019. Global finfish production review and forecast. Available via https://www.globalseafood.org/advocate/goal-2019-global-finfish-production-review-and-forecast/

Wang, Y., Hu, L., Zhang, G., Yan, T., Yan, L., Wei, Q. and Du, B. 2017. Removal of Pb(II) and methylene blue from aqueous solution by magnetic hydroxyapatite-immobilized oxidized multi-walled carbon nanotubes. J. Coll. Interface. Sci. 494, 380–388.

Weeraphat, P.O., Panan, S., Narattaphol, C., Jirawan, T., Nateetip, K. and Ming, T.I. 2016. Hydroxyapatite from fish scale for potential use as bone scaffold or regenerative material. Mater. Sci. Eng. 62, 183–189.

WHO. 2018. Drinking-water. World Health Organization fact sheets, Available via https://www.who.int/en/news-room/fact-sheets/detail/drinking-water (Accessed 27 August 2022.



How to Cite this Article
Pubmed Style

Soliman ES, Hassan RA, Farid DS. Nile Tilapia Bones as Eco-Friendly Alternative in Water Treatment and Enhancing Performance and Immunity in Broiler Chickens. Open Vet. J.. 2022; 12(6): 1000-1017. doi:10.5455/OVJ.2022.v12.i6.29


Web Style

Soliman ES, Hassan RA, Farid DS. Nile Tilapia Bones as Eco-Friendly Alternative in Water Treatment and Enhancing Performance and Immunity in Broiler Chickens. https://www.openveterinaryjournal.com/?mno=118654 [Access: January 25, 2026]. doi:10.5455/OVJ.2022.v12.i6.29


AMA (American Medical Association) Style

Soliman ES, Hassan RA, Farid DS. Nile Tilapia Bones as Eco-Friendly Alternative in Water Treatment and Enhancing Performance and Immunity in Broiler Chickens. Open Vet. J.. 2022; 12(6): 1000-1017. doi:10.5455/OVJ.2022.v12.i6.29



Vancouver/ICMJE Style

Soliman ES, Hassan RA, Farid DS. Nile Tilapia Bones as Eco-Friendly Alternative in Water Treatment and Enhancing Performance and Immunity in Broiler Chickens. Open Vet. J.. (2022), [cited January 25, 2026]; 12(6): 1000-1017. doi:10.5455/OVJ.2022.v12.i6.29



Harvard Style

Soliman, E. S., Hassan, . R. A. & Farid, . D. S. (2022) Nile Tilapia Bones as Eco-Friendly Alternative in Water Treatment and Enhancing Performance and Immunity in Broiler Chickens. Open Vet. J., 12 (6), 1000-1017. doi:10.5455/OVJ.2022.v12.i6.29



Turabian Style

Soliman, Essam S., Rania A. Hassan, and Doaa S. Farid. 2022. Nile Tilapia Bones as Eco-Friendly Alternative in Water Treatment and Enhancing Performance and Immunity in Broiler Chickens. Open Veterinary Journal, 12 (6), 1000-1017. doi:10.5455/OVJ.2022.v12.i6.29



Chicago Style

Soliman, Essam S., Rania A. Hassan, and Doaa S. Farid. "Nile Tilapia Bones as Eco-Friendly Alternative in Water Treatment and Enhancing Performance and Immunity in Broiler Chickens." Open Veterinary Journal 12 (2022), 1000-1017. doi:10.5455/OVJ.2022.v12.i6.29



MLA (The Modern Language Association) Style

Soliman, Essam S., Rania A. Hassan, and Doaa S. Farid. "Nile Tilapia Bones as Eco-Friendly Alternative in Water Treatment and Enhancing Performance and Immunity in Broiler Chickens." Open Veterinary Journal 12.6 (2022), 1000-1017. Print. doi:10.5455/OVJ.2022.v12.i6.29



APA (American Psychological Association) Style

Soliman, E. S., Hassan, . R. A. & Farid, . D. S. (2022) Nile Tilapia Bones as Eco-Friendly Alternative in Water Treatment and Enhancing Performance and Immunity in Broiler Chickens. Open Veterinary Journal, 12 (6), 1000-1017. doi:10.5455/OVJ.2022.v12.i6.29