E-ISSN 2218-6050 | ISSN 2226-4485
 

Original Article


Open Veterinary Journal, (2022), Vol. 12(2): 165–170

Original Research

10.5455/OVJ.2022.v12.i2.2

Positive effect of green tea extract on reproductive toxicity induced by dimethoate in male mice

Samira Musa Sasi1*, Nagia Musa Alghoul2, Nuri Awayn3 and Ahmed Elghoul4

1Department of Zoology, Faculty of science, University of Tripoli, Tripoli, Libya

2Biotechnology Center, Tripoli, Libya

3Department of Chemistry, Faculty of Science, University of Tripoli, Tripoli, Libya

4Chemistry Department, Management of Laboratories and Criminal Evidences, Ministry of Interior, Tripoli, Libya

*Corresponding Author: Samira Musa Sasi. Zoology Department, Faculty of science, Tripoli University, Tripoli, Libya. Email: samira_18_3 [at] yahoo.com

Submitted: 29/06/2021 Accepted: 31/01/2022 Published: 03/03/2022


Abstract

Background: Dimethoate (DM) is one of the most organophosphorus pesticides used all over the world to control insect pests, the extensive use of this insecticide causes a health hazard to animals and humans.

Aim: This study was conducted to evaluate the positive effect of green tea extract on sperm quality and testicular cytoarchitecture in male mice treated with DM and on its reproductive performance.

Methods: Mice were divided into three groups, each group contained nine mice, the first group (control) was given distilled water only, the second group received DM at a dose (0.1 ml DM/100 ml distilled water) while the third group was given DM at a dose (0.1 ml DM/ 100 ml distilled water) and the green tea extract at a dose (100 mg/kg). After 20 days of the treatment, six mice from each group were killed, sperm quality (sperm count, morphology motility) and histopathological lesions of testis were evaluated.

Results: The results showed that DM significantly affected sperm quality a decrease in sperm motility and an increase in abnormal sperm morphology and caused marked alterations in the microstructures of testicular tissues. When treated males were mated with untreated females, a decline in the number of live embryos was found, while the green tea extract revealed an effective role by reducing those negative influences.

Conclusion: This study revealed that DM has detrimental effects on sperm quality, testicular tissues, and the embryos, while treatment with green tea revealed a positive role in improving those negative influences of DM without causing any harmful side effects.

Keywords: Dimethoate, Green tea, Embryos, Histoarchitecture, Sperm parameters.


Introduction

Dimethoate (DM) is one of the most organophosphorus pesticides used all over the world, it is used to control insect pests which infect the crops, fruits trees, vegetables, and the seeds, also for control of many insects including aphids, thrips, and white flies (Abouamer et al., 2013). The extensive use of DM may pose a health hazard to animals and humans because of its persistence in soil and crops (Ngoula et al., 2014), as well as it inhibits the action of acetyl cholinesterase causing accumulation of acetyl choline at the nerve endings (Breckenridge and Stevens, 2008). Several studies indicated that DM has toxic effects on various organs of the body such as liver (AL-Ali et al., 2016; Heikal et al., 2011; Saafi et al., 2011), ovary (Farag et al., 2007), and kidney (AL-Ali et al., 2016), as it demonstrated altered level of serum gonadotropins and irregular estrous cycle in adult female rats (Kaur and Dhanju, 2005), and impairment of fertility, suppressed libido, semen quality deterioration, altered testosterone levels, and testicular degenerations in male rodents (Farag et al., 2007; Ngoula et al., 2014). Furthermore, it led to a decrease in the number of live embryos and an increase in the number of dead embryos (Farag et al., 2006; Sasi et al., 2013).

DM can stimulate the oxidation of molecules inside the body, thus resulting in oxidation stress by overproduction of free radicals that react with membrane lipids producing damage of cells and tissues (Abu EL-Saad and ELgerbed, 2010; Bakir et al., 2020); therefore, interest has grown in the role and usage of natural antioxidants as vitamins from fruit and vegetables and the plant extracts as strategies to prevent oxidative stress. Green tea is one of the known plants with biological and pharmacological activities, it is also considered as one of the most consumed beverages after the water in the world (Gomikawa et al., 2008). Green tea comes from the leaves of Camellia sinesis plant that belongs to the family: Theaceae (Rai-Nishant et al., 2012). This plant contains polyphenolic compounds including Epicatechin (EC), Epigallocatechin gallate (EGCG), Epigallocatechin (EGC), and Epicatechin gallate (ECG) (Rai-Nishant et al., 2012), these compounds are responsible for antioxidants activities of green tea such as neutralization of free radicals that are formed in the process of metabolism (Horzic et al., 2009), in addition, it contains carbohydrates, vitamins E, K, A, low levels of vitamin B and vitamin C, as well as it is a rich source of mineral elements that promote its antioxidant properties.

Several studies showed that green tea has anticancer, anticholesterol, antidiabetic, antimutation, antimicrobial, and antioxidant effects (Weisburger and Chung, 2002), as well as it exerts anti-obesity effects (Rains et al., 2011). The present study aimed to investigate the positive effects of green tea extract on sperm quality and microstructure of testicular tissue in mice treated with DM insecticide and also on the embryos.


Material and Methods

Materials

The green tea plant (oriental green tea, fine quality, China) was purchased from a local shop while DM (40% EC, good quality, Germany) was bought from Soliman Khater market (Tripoli—Libya) and they were used to prepare the required doses.

Experimental animal and treatment

This study was conducted 27 on albino male mice weighing (22–28 g), their ages between 8 and 10 weeks, they were reared in animals ’room in the Zoology Department, Faculty of Science, University of Tripoli, Libya under normal light and temperature between 23°C and 25°C, they were given standard commercial laboratory chow and water. Animals were divided into three groups, each consist of nine mice and treated as follows: Group I (control): this group received distilled water by gavage for 20 days, group II: the mice in this group received DM at a dose (0.1 ml DM/100 ml distilled water), and group III: the mice in this group received DM at a dose (0.1 ml DM/100 ml distilled water), after 2 hours of the treatment, they were given green tea extract at a dose (100 mg/kg).

Green tea extraction method

Green tea extract was prepared by boiling 4 g of green tea in 100 ml water for 5 minutes. The mixture was cooling to room temperature and then filtered, after that was given orally to mice.

Sample collection

At the end of the treatment period, six mice from each group were weighted and killed by cervical dislocation, testes and vas deferens were dissected, the testes were kept in formalin for histopathological examination, the rest of the mice from each group were used for a fertility test.

Determination of sperm counts and motility

Sperm were collected by squeezing each vas deferens into 1 ml normal saline (0.9% NaCl) in a small petri dish, then sperm suspension was incubated at 37°C for 10 minutes, after that sperm suspension was thoroughly mixed with a pipette, a small amount of sperm suspension was placed on both chambers of Neubauer hemocytometer and allowing each chamber to be filled by capillary action. Sperm count was determined according to the method of Yokoi et al. (2003) and expressed as millions per milliliter (106 /ml) and also the number of motile and non-motile sperms of control and treated groups were calculated and its motility was determined according to Levin et al. (1992).

Determination of morphological abnormalities of sperm

Two smears were prepared from each mouse and air-dried, then were stained with 1% eosin for 10 minutes, 300 sperm from each mouse were examined at 40 × magnification to determine morphological abnormal sperms according to Otitoloju et al. (2010).

Histological examination

Testes were removed and fixed in 10% neutral formalin and were processed by dehydration in different concentrations of ethanol and were embedded in paraffin wax. Paraffin sections were cut at 7 µm thickness, the sections were stained by hematoxylin and eosin (H & E) and examined under alight microscope.

Fertility test

After the end of the treatment period, the treated males were mated with untreated females (1:2). Mating was confirmed by presence of a vaginal plug. Once the vaginal plug was observed that day was considered as day zero of gestation. On the 18th day of gestation, pregnant mice were killed by cervical dislocation and the embryos were removed. The number of live embryos and their body length were recorded.

Statistical analysis

The data were analyzed by one-way analysis of variance using SPSS (version 20), followed by a post hoc Duncan test to make compare between the treated groups and the control, (p < 0.05) was considered as statistically significant. The data were expressed as mean ± standard deviation.

Ethical approval

Ethical approval for the experimental protocol of the study was obtained from the Ethics Committee of the Biotechnology Research Center (Reference BEC-BTRC 17-2021).


Results

Effect of different treatments on mice behavior and its survival

The mice treated with DM revealed a decrease in locomotor activity and also showed some clinical symptoms such as paralysis of limbs, salivation, convulsions, tremors, weakness, ataxia, fur loss on the back and Redding of eyes as well as a decrease in feed and water intake. No animals died in all the groups during the experiment period.

Effect of different treatments on sperm parameters

A significant decline (p < 0.05) in the percent of motile sperm on mice treated with DM was observed compared to the control and to the group treated with DM + green tea extract (Table 1). There were not statistical differences (p > 0.05) in sperm count between the control and the treated groups. Statistical analysis also showed a significant increase (p <0.05) in the percent of abnormal sperm in DM treated group compared to the control and to DM + green tea treated group. On the other hand, a significant decrease in the percent of abnormal sperm was recorded in the group treated with dimethoae + green tea as compared to DM treated group (Table 1). Most observed abnormalities by a light microscope were sperm without tail, sperm with a short tail, sperm with a crooked tail, sperm with a coiled tail, sperm with an amorphous head compared to normal sperm Figure 1.

Table 1. Effect of DM and aqueous extract of green tea on sperm parameters in male mice.

Fig. 1. photomicrograph of different shapes of sperm morphology. (a): Normal sperm; (b): Tailless head; (c): Short tail; (d): Crooked tail; (e) Coiled tail; (f): Amorphous head. (Eosin—40 ×).

Effect of different treatments on testicular tissue

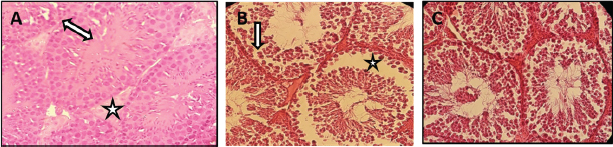
Testicular sections of control revealed the normal cellular organized arrangement of seminiferous tubules Figure 2A). Seminiferous tubules are separated from each other by narrow interstitial spaces containing Leydig cells and blood capillaries. These seminiferous tubules are lined by germinal epithelium which consists of spermatogenic cells. The spermatogenic cells are formed of spermatogonia, spermatocytes, and spermatids between them Sertoli cells and the lumens contain many spermatozoa. Conversely, the testicular tissues of mice treated with DM showed structural alterations including, disorganization, degeneration of germinal epithelium in most seminiferous tubules, detachment of spermatogonia from the basement membrane in some seminiferous tubules, loss of some spermatogenic cells and existence of gaps between them, absence of spermatozoa in some seminiferous tubules Figure 2B, while the testicular tissues of green tea + DM treated mice were close to the control group Figure 2C.

Fig. 2. A photomicrograph of a testicular tissue of the control group. (A) Closely packed seminiferous tubules, lined by normal spermatogenic cells (double headed arrow), interstitial space (star). (B) A photomicrograph of a testicular tissue of DM treated group showing detachment of spermatogonia from the basement membrane (arrow), loss of some spermatogenic cells (star). (C) Photomicrograph of a testicular tissue of green tea + DM treated group showing nearly normal structure of testes. (H & E 40 ×).

Table 2. Effect of DM and aqueous extract of green tea on embryos of untreated females impregnated by treated males.

Effect of different treatments on embryos of untreated females impregnated by the treated males

The results of the current study demonstrated a significant decrease (p < 0.05) in the number of live embryos of females impregnated by male mice treated with DM when compared to those of the control and DM + green tea treated group. No significant difference was recorded in the body length of the embryos between the treated groups and the control Table 2.


Discussion

In the last few years, a marked decrease in male fertility has been observed due to toxic materials such as cadmium, mercury, lead, and pesticides; these materials can accumulate inside the body and cause detrimental effects on reproductive function (Wijesekara et al., 2015). Sperm parameters are used as an indicator for recognizing male reproductive toxicants (Working, 1988). Few studies have used green tea as antioxidants; therefore, the purpose of this study was to test the effectiveness of aqueous extract of green tea in amelioration sperm parameters and testicular tissue in male mice treated with DM. The results of the current study demonstrated that the recommended dose of DM has caused decreasing in sperm motility. This result similar to the results of previous studies (Ngoula et al., 2014; Sasi et al., 2018a, 2018b). The reduction in sperm motility may be attributed to reduction in testosterone level which has an important role in spermatogenesis (Ali et al., 2011) or to disruption of the normal structure of microtubules in the sperm (Uzunhisarcikli et al., 2007) or because the low level of ATP content (Choudhary et al., 2008) because of oxidative stress in the testes (Creasy, 2001; Bakir et al., 2020). This study also showed an increase in the percent of motile sperm in the treated group with DM + green tea extract compared to DM treated group. The positive effect of green tea may be due to amino acids, glucose, metals, vitamins and all the materials which induce and increase sperm motility (AL-Dujaily et al., 2012).

The current study revealed a significant increase in the percent of abnormal sperm in DM treated mice, this result agrees with the results of previous studies (Jallouli et al., 2015; Sasi et al., 2018a, 2018b). Sperm abnormalities may be due to change in the genetic material of sperm by over production of free radicals such as reactive oxygen species (Bakir et al., 2020; Navarro and Bustos, 2014) or to DNA damage in testes (Sarabia et al., 2009), or abnormal structure of microtubules in sperm tail (Trived et al., 2010). Also, a significant decrease was observed in the percent of abnormal sperm in group treated with green tea + DM, this reduction may be due to the catechins are in green tea which possess powerful antioxidant properties that can reduce DNA damage by removing free radicals and protect the chromosomes from mutagenic chemicals (Sung et al., 2000).

Previous studies revealed histopathological disturbances in adult rodents’ testes following direct exposure to DM and other organophosphates pesticides (Bakir et al., 2020; Choudhary et al., 2008; Farag et al., 2007; Heikal et al., 2014; Sasi and EL-Ghoul, 2021); which were in concord with the histological results of this study which demonstrated that DM exerted a detrimental effect on testicular tissues. The toxic influence of this pesticide on testicular tissues of mice was either by increasing free radicals production (Heikal et al., 2011) which affect lipids (peroxidation of unsaturated fatty acids in the cell membrane); this, in turn, can impair cellular structure and function (Bergamini et al., 2004; Heikal et al., 2014) or by inhibition of pituitary gonadotropins secretion (Colborn, 2006). Histopathological changes were alleviated following green tea administration; a similar result was recorded by EL-Shahat et al. (2009) who found that green tea extract inhibited the harmful effects of DM on testicular tissue. This positive effect of green tea extract may be attributed to flavonoids, metals, and vitamins which play an important role in the induction of cellular growth and prevention of free radicals induced oxidative stress (Rai-Nishant et al., 2012).

The results of this study indicated that this pesticide affected the embryos, which was in agreement with works were done by Sasi et al. (2018a, 2018b) and Sasi and EL-Ghoul (2021). This negative effect of DM may be attributed to the overproduction of free radicals which affect different body systems including the male reproductive system and increase sperm abnormalities, while the beneficial impact of green tea on the embryos may be caused its antioxidants properties which can protect the chromosomes and genetic materials (DNA) from mutagenic chemicals (Sung et al., 2000).


Conclusion

This study revealed that the exposure to DM leads to detrimental effects on sperm quality, testicular tissues of male mice and on the embryos. In contrast, administration of an aqueous extract of green tea has a positive role in improving the toxicological and physiological impacts resulting from exposure to this insecticide; so green tea extract may be considered as a therapy option for reproductive toxicity without causing any harmful side effects.


Acknowledgment

The authors express their deepest appreciation to Prof. Dr Othman Alansari at Zoology department, Faculty of Science, University of Tripoli and Prof. Dr. Khalid Salem at University of Sadat city, Cairo, Egypt for their revision this paper.

Conflict of interest

All authors declare that there is no conflict of interest.


References

Abouamer, W., Abu-Shaeir, W. and Bakry, S. 2013. Dimethoate induced intrauterine growth retardations in mice. American-Eurasian J. Toxicol. Sci. 5(4), 85–93.

Abu EL-Saad, A.M. and ELgerbed, M.S.A. 2010. Dimethoate-induced hepatotoxicity in rats and the the protective roles of vitamin E and N-acetylcysteine. Egypt J. Exp. Biol. (Zool). 6, 219–300.

Al-Ali, A.A., Kata, F.S. and Hussein, S.M. 2016. Biochemical and histopathological changes of dimethoate in some organs of laboratory mice Mus muculus. Basrah J. Agri. Sci. 29(2), 162–186.

Al-Dujaily, S.S., Al-Zubaidi, S.F. and Hussain, S.O. 2012. Effect of in vitro activation by Glycyrrhiza glabra extract on cryostorage. Euphrates J. Agri. Sci. 4(3), 15–25.

Ali, K., Reza, N.G., Syamak, S., Aref, H., Leila, R., Mohammad, B., Davoud, K. and Esmaiel, G. 2011. Protective effect of selenium on Diazinon induced determination Impact on testes in mature male rats. Global Veterinaria. 7(4), 370–380.

Bakir, E., Sariozkan, S., Endirlik, B.U., Kili, A.B., Yay, A.H., Tan, F.C., Eken, A. and Turk, G. 2020. Cherry laurel fruit extract counters dimethoate induced reproductive impairment and testicular apoptosis. Art. Hig Rada Toksikol. 71, 329–338.

Bergamini, C.M., Gambetti, S., Dondi, A. and Cervellati, C. 2004. Oxygen, reactive oxygen species and tissue damage. Curr. Pharm Des. 10(14), 1611–1626.

Breckenridge, C.B. and Stevens, J.T. 2008. Corpo protection chemicals: mechanism of action and hazard profiles. In Principles and methods of toxicology. Ed., Hayes, A. W. Boca Raton, FL: CRC Press Taylor and Francis Group, pp: 727–774.

Choudhary, N., Goyal, R. and Joshi, S.C. 2008. Effect of malathion on reproductive system of male rats. J. Environ. Biol. 29(2), 259–262.

Colborn, T. 2006. A case for revisiting the safety of pesticides: a closer look at neurodevelopment. Environ. Health Perspect. 114(1), 10–17.

Creasy, D.M. 2001. Pathogenesis of male reproductive toxicity. Toxicol. Pathol. 29(1), 64–76.

El-Shahat, A.R., Attia, G., Abdel-Raheim, M. and El Saed, M. 2009. Altered testicular morphology and oxidative stress induced by cadmium in experimental rats and protective effect of simultaneous green tea extract. Int. J. Morphol. 27(3), 757–764.

Farag, A.T., Karkour, T.A.Z. and El Okazy, A. 2006. Developmental toxicity of orally

administered technical dimethoate in rats. Birth Defects Res. B. Dev. Reprod. Toxicol. 77(1), 40–46.

Farag, A.T., El-Aswad, A.F. and Shaaban, N.A. 2007. Assessment of reproductive toxicity of orally administered technical dimethoate in male mice. Reprod Toxicol. 23, 232–238.

Gomikawa, S., Ishikawa, Y., Hayase, W., Haratake, Y., Hirano, N., Matuura, H., Mizwaki, A., Murakami, A. and Yamamoto, M. 2008. Effect of ground green tea drinking for 2 weeks on the susceptibility of plasma and LDL to the oxidation ex vivo in healthy volunteers. J. Med. Sci. 54(1), 62–72.

Heikal, T.M., Ghanem, H.Z. and Soliman, M.S. 2011. Protective effect of green tea extracts against dimethoate induced DNA damage and oxidant / antioxidant status in male rats. Biohealth. Sci. Bulletin. 3(1), 1–11.

Heikal, T. M., Mossa, T.H., Ibrahim, A.W. and Abdel-Hamid, H.F. 2014. Oxidative damage and reproductive toxicity associated with cyromazine and chlorpyrifos in male rats: the protective effects of green tea extract. Res. J. Environ. Toxicol. 8(2), 53–67.

Horzic, D., Komes, D., Belscak, A., Ganic, K.K., Ivekovic, D. and Kalovic, D. 2009. The composition of polyphenols and methylxanthine in tea and herbal infusions. Food Chem. 115, 441–448.

Jallouli, M., EI Bini Dhouib, I., Dhouib, H., Gharbi, N. and EI fazzaa, S. 2015. Effects of dimethoate in male mice reproductive parameters. Regulatory Toxicol. Pharmacol. 73, 853–858.

Levin, R.J., Brown, M.H., Bell, M., Shue, F., Greenberg, G.N. and Brodson, B.L. 1992. Air-coditioned Environments do not prevent deterioration of human semen quality during the summer. Fertil. Steril. 57, 1065–1083.

Kaur, S. and Dhanju, C.K. 2005. Biochemical effects of some organophosphorus pesticides on the ovaries of albino rats. Indian J. Physiol. Pharmacol. 49, 148–152.

Navarro, E. and Bustos, E. 2014. Effect of malathion on cellularity and sperm Differentiation in testes and Epididymis of Adult Rats. Int. J. Morphol. 32(1), 119–124.

Ngoula, F., Watcho, P., Kenfack, A., Manga, J.N., Defang, H.F., pierre, K. and Joseph, T. 2014. Effect of dimethoate an organophosphate insecticide on the reproductive system and fertility of male rat. American J. Pharmacol. Toxicol. 9(1), 75–83.

Otitoloju, A.A., Obe, I.A., Adewale, O.A., Otubanjo, O.A. and Osunkalu, V.O. 2010. Preliminary study on the induction of sperm head abnormalities in mice, Mus musculus, exposed to radiofrequency radiations from global system for mobile communication base stations. Bull Environ. Contam. Toxicol. 84, 51–54.

Rai-Nishant, A.J., Navin, K. and Pankaj, G. 2012. Green tea: a magical herb with miraculous outcomes. Int. Res. J. Pharm. 3(5), 139–148.

Rains, T.M., Agarwal, S. and Maki, K.C. 2011. Anti-obesity effects of green tea catechins: a mechanistic review, J. Nutr. Biochem. 22(1), 1–7.

Saafi, E., Louedi, M., Elfeki, A., Zakhama, A., Najjar, M., Hammami, M. and Achour, L. (2011). Protective effect of date palm fruit extract (Phoenix dactylifera L.) on dimethoate induced- oxidative stress in rat liver. Experi. Toxicol. Pathol. 63, 433–441.

Sarabia, L., Maurer, I. and Bustos-Obregon, E. 2009. Melathonin prevents damage elicited by the organophosphorous pesticide diazinon on the mouse testis. Ecotoxicol. Environ. Saf. 72(3), 938–942.

Sasi, S.M., Sasi, N.M. and Dawd, D.S. 2013. Effect of dimethoate on pregnant female mice and their embryos. J. Basic and Appl. Sci. 19(2), 33–51.

Sasi, S.M., AL-Ghoul, N.M. and AL-Shakshouki, F.M. 2018a. Effect of early exposure of dimethoate on reproductive potential in Swiss male mice. Syrian J. Agri. Res. 5(2), 212–221.

Sasi, S.M., Sasi, N.M., Abdulaziz, A., Esa, M. and Almsri, M. 2018b. Effect of dimethoate (insecticide) on reproductive function in adult male mice. J. Libyan Studies. 2(15), 1–12.

Sasi, S.M. and EL-Ghoul, N.M. 2021. Effect of the recommended dose of dimethoate and its double on the embryos and testicular tissues in male mice. J. Mar Sci. & Environ. Technol. 7(1), 29–35.

Sung, H., Nah, J., Chun, S., Park, H., Yang, S.E. and Min, W.K. 2000. In vivo antioxidant effect of green tea. Eur. J. Clin. Nutr. 54(7), 527–529.

Trived, P., Kushwaha, S., Tripathi, D. and Jena, G. 2010. Evaluation of male germ cell toxicity in rats: Correlation between sperm head morphology and sperm comet assay. Mutat. Res. Gen. Toxicol. En. 703, 115–121.

Uzunhisarcikli, M., Kalender, Y., Dirican, K., Kalender, S., Ogutcu, A. and Buyukkomurcu, F. 2007. Acute, subacute and subchronic administration of methyl parathion-induced testicular damage in male rats and protective role of vitamins C and E Pestic. Biochem. Physiol. 87, 115–122.

Wijesekara, G.U., Femando, D.M. and Wijerathna, S. 2015. Environmental and occupational exposures as a cause of male infertility. Ceylon Med. J. 60, 52–56.

Working, P.K. 1988. Male Reproductive toxicoloy: comparison of the human to animal models. Environ. Health Perspect. 77, 37–44.

Weisburger, J.H. and Chung, F.L. 2002. Mechanisms of chronic disease causation by nutritional factors and tobacco products and their prevention by tea polyphenols. Food Chem. Toxicol. 40(8), 1145–1154.

Yokoi, K., Uthus, E.O. and Nielsen, F.H. 2003. Nickel deficiency diminishes sperm quantity and movement in rats. Biol. Trace. Element. Res. 93, 141–153.



How to Cite this Article
Pubmed Style

Sasi S, Alghoul N, Awayn N, Elghoul A. Positive effect of green tea extract on reproductive toxicity induced by dimethoate in male mice. Open Vet. J.. 2022; 12(2): 165-170. doi:10.5455/OVJ.2022.v12.i2.2


Web Style

Sasi S, Alghoul N, Awayn N, Elghoul A. Positive effect of green tea extract on reproductive toxicity induced by dimethoate in male mice. https://www.openveterinaryjournal.com/?mno=91499 [Access: October 16, 2025]. doi:10.5455/OVJ.2022.v12.i2.2


AMA (American Medical Association) Style

Sasi S, Alghoul N, Awayn N, Elghoul A. Positive effect of green tea extract on reproductive toxicity induced by dimethoate in male mice. Open Vet. J.. 2022; 12(2): 165-170. doi:10.5455/OVJ.2022.v12.i2.2



Vancouver/ICMJE Style

Sasi S, Alghoul N, Awayn N, Elghoul A. Positive effect of green tea extract on reproductive toxicity induced by dimethoate in male mice. Open Vet. J.. (2022), [cited October 16, 2025]; 12(2): 165-170. doi:10.5455/OVJ.2022.v12.i2.2



Harvard Style

Sasi, S., Alghoul, . N., Awayn, . N. & Elghoul, . A. (2022) Positive effect of green tea extract on reproductive toxicity induced by dimethoate in male mice. Open Vet. J., 12 (2), 165-170. doi:10.5455/OVJ.2022.v12.i2.2



Turabian Style

Sasi, Samira, Nagia Alghoul, Nuri Awayn, and Ahmed Elghoul. 2022. Positive effect of green tea extract on reproductive toxicity induced by dimethoate in male mice. Open Veterinary Journal, 12 (2), 165-170. doi:10.5455/OVJ.2022.v12.i2.2



Chicago Style

Sasi, Samira, Nagia Alghoul, Nuri Awayn, and Ahmed Elghoul. "Positive effect of green tea extract on reproductive toxicity induced by dimethoate in male mice." Open Veterinary Journal 12 (2022), 165-170. doi:10.5455/OVJ.2022.v12.i2.2



MLA (The Modern Language Association) Style

Sasi, Samira, Nagia Alghoul, Nuri Awayn, and Ahmed Elghoul. "Positive effect of green tea extract on reproductive toxicity induced by dimethoate in male mice." Open Veterinary Journal 12.2 (2022), 165-170. Print. doi:10.5455/OVJ.2022.v12.i2.2



APA (American Psychological Association) Style

Sasi, S., Alghoul, . N., Awayn, . N. & Elghoul, . A. (2022) Positive effect of green tea extract on reproductive toxicity induced by dimethoate in male mice. Open Veterinary Journal, 12 (2), 165-170. doi:10.5455/OVJ.2022.v12.i2.2