E-ISSN 2218-6050 | ISSN 2226-4485
 

Case Report


Open Veterinary Journal, (2025), Vol. 15(9): 4750-4754

Case Reports

10.5455/OVJ.2025.v15.i9.80

Esophageal squamous cell carcinoma invading the gastric cardia in a cat

Munekazu Nakaichi1,*, Mitsunori Shimonaga2, Kyoko Yoshizaki3, Yuki Nemoto1, Hiroshi Sunahara4, Harumichi Itoh2, Takuya Itamoto4, Kazuhito Itamoto2 and Kenji Tani4

1Department of Veterinary Radiology, Joint Faculty of Veterinary Science, Yamaguchi University, Yamaguchi, Japan

2Department of Veterinary Small Animal Clinical Science, Joint Faculty of Veterinary Science, Yamaguchi University, Yamaguchi, Japan

3Department of Veterinary Pathology, Joint Faculty of Veterinary Science, Yamaguchi University, Yamaguchi, Japan

4Department of Veterinary Surgery, Joint Faculty of Veterinary Science, Yamaguchi University, Yamaguchi, Japan

*Corresponding Author: Munekazu Nakaichi., Department of Veterinary Radiology, Joint Faculty of Veterinary Science, Yamaguchi University, Yamaguchi, Japan. Email: nakaichi [at] yamaguchi-u.ac.jp

Submitted: 10/04/2025 Revised: 27/07/2025 Accepted: 18/08/2025 Published: 30/09/2025


Abstract

Background: Case reports of primary squamous cell carcinoma (SCC) of the esophagus in cats are limited, and it is considered necessary to accumulate more cases.

Case Description: An 8-year-old spayed female Japanese domestic cat presented with complaints of regurgitation and weight loss for the previous 2 months. A radiographic examination showed that the contrast agent used in the esophagography performed in another veterinary hospital remained inside the esophagus, and a mass lesion on the cranial side of the diaphragm was suspected. Computed tomography examination revealed a mass lesion originating from the caudal esophagus. Esophageal endoscopy revealed a bulging mass in the esophageal mucosa, which was diagnosed by tissue biopsy as SCC. Because hepatic lipidosis was suspected based on CT images, a gastrostomy tube was placed through laparotomy to improve food intake. However, after the gastrostomy tube placement, the blood bilirubin and ammonia concentrations markedly increased, and the cat died 2 days later. Postmortem histopathological examination revealed that the esophageal SCC had invaded the gastric cardia’s mucosal and muscular layers. Metastatic lesions were also confirmed in the lymph nodes around the liver. The liver histopathology was compatible with severe hepatic lipidosis, and liver failure was considered the cause of death.

Conclusion: Although primary SCC of the esophagus in cats is considered a rare disease, it should be considered as a differential diagnosis in patients with severe regurgitation and weight loss. When treating cats with long-term starvation, the progression of potentially fatal hepatic lipidosis should be considered.

Keywords: Cat, Esophagus, Gastric cardia, Gastrostomy tube, Squamous cell carcinoma.


Introduction

Primary tumors of the gastrointestinal system are common in small animal clinical practice; however, the literature on primary neoplastic diseases of the esophagus is limited. Some studies have reported on canine esophageal tumors (Ranen et al., 2008; Okanishi et al., 2015; Robin et al., 2018; Lee et al., 2020). Esophageal tumors are not necessarily the primary cause of obstructive esophageal disease in cats; one report noted only 5 of 33 cases of such disease in cats (Frowde et al., 2011). However, because esophageal tumors in small animals are generally considered difficult to treat, resulting in poor prognosis, neoplastic diseases should be considered as one of the differential diagnoses.

There are limited reports on primary esophageal tumors in cats compared with dogs, with a majority of squamous cell carcinomas (SCCs) (Happé et al., 1978; Gualtieri et al., 1999; Berube et al., 2009), although some other histopathological types of tumors have also been reported (Patnaik et al., 1990; Shinozuka et al., 2001; Teo et al., 2014; Wallick et al., 2024). Clinical information regarding primary esophageal tumors in cats is still quite limited. We reported a case of SCC in a cat originating from the esophagus. Herein, we report the clinical course of this case.


Case Details

An 8-year-old, spayed, female Japanese domestic cat was admitted to our referring veterinary hospital for evaluation of vomiting/regurgitation that had been occurring for 2 months. The cat had been receiving standard treatment for vomiting at a private hospital, but no clinical improvement was observed. One month before admission to our hospital, the cat’s appetite had decreased, and 4 days before, esophageal contrast radiography was performed at the referring hospital, and esophageal stenosis was suspected. At the time of initial examination at our hospital, the animal was anorexic and had advanced weight loss. The patient’s weight was 2.6 kg; however, according to the owner, the cat weighed more than 5.0 kg before the onset of clinical symptoms. A complete blood count revealed mild anemia, and a biochemical examination revealed hypokalemia and slightly elevated blood bilirubin concentration. Radiographic examination of the thoracic cavity revealed a dilated esophagus with residual contrast medium in the esophagography performed at the referring hospital (Fig. 1A). No contrast medium flowed into the distal third of the esophagus, and a round mass lesion approximately 2 cm in diameter was observed between the discontinuous contrast medium and the diaphragm. Abdominal radiography revealed no abnormal findings. Computed tomography (CT) examination was performed under general anesthesia induced by intravenous injection of 1–2 mg/kg of alfaxalone (Alfaxan; Meiji Seika Pharma) and maintained with sevoflurane (Sevofran; Maruishi Pharmaceutical). On CT images, we observed a mass approximately 2.5 cm in diameter on the cranial side of the diaphragm, which was considered to be part of the esophagus and the possible cause of food regurgitation. The mass showed a slight enhancement on contrast CT images. The three-dimensional reconstructed CT image showed that the mass was continuous with the gastric mucosa (Fig. 1B). In the abdominal CT images, the liver had a substantially lower CT attenuation value than the gallbladder, suggesting the development of hepatic lipidosis possibly induced by long-term starvation (Nakamura et al., 2005). Furthermore, esophageal endoscopy revealed that the mass lesion protruded from the esophageal mucosa (Fig. 1C). The mass was white, had no ulcerative lesions on its surface, and completely obstructed the esophagus lumen, making it impossible to insert the scope into the stomach. Endoscopic tissue biopsy of the mass strongly suggested SCC of the esophagus.

Based on the results of imaging and histopathological examinations, we discussed the treatment plan with the owner and decided to place a gastrostomy tube to improve the cat’s food intake. The cat was hospitalized and given fluid therapy to improve hypokalemia. On the 4th day of hospitalization, a gastrostomy tube was placed under laparotomy using a percutaneous endoscopic gastrostomy system (Safety PRG Kit, 20Fr, Boston Scientific). Anesthesia was induced with alphaxalone and maintained with inhalation of sevoflurane as described above. A routine midline abdominal incision was made. The stomach was identified and pumped up with air using a 23G needle until it expanded and was in contact with the inside of the body wall. The stomach was then punctured from outside the body, and a guidewire was inserted into the stomach. After making a small incision in the stomach and checking that the guidewire was inside the stomach, the feeding tube was connected to the guidewire and pulled out of the body to complete the gastrostomy tube installation. The surgical duration was 40 minutes.

The cat recovered from anesthesia after surgery. However, the cat showed marked signs of jaundice the next day, and blood tests showed marked increases in blood bilirubin (4.4 mg/dl) and ammonia (356 µg/dl) concentrations, suggesting severe liver failure. Although the cat received intensive symptomatic treatment for liver failure, it died on day 6 after hospitalization. After the cat died, with the permission of her owner, histopathological examination specimens were collected through the surgical wound of the lesions in the stomach, a part of the esophagus, and the liver.

Fig. 1. (A) Thoracic radiography of the cat at first admission. The barium sulfate used for esophagography performed by the referring hospital remains in the cranial two-thirds of the esophagus. Contrast medium did not flow into the distal third of the esophagus, and a circular mass shadow was observed between the part where the contrast medium stopped and the diaphragm (arrows). (B) Three-dimensional reconstructed coronal CT image of the thoracic cavity. The proximal esophagus lumen contains barium sulfate, and a mass in the distal esophagus appears to be continuous with the gastric mucosa (arrow). (C) Endoscopic image of the esophagus showing white tumor tissue bulging from the esophagus wall and completely obstructing the lumen.

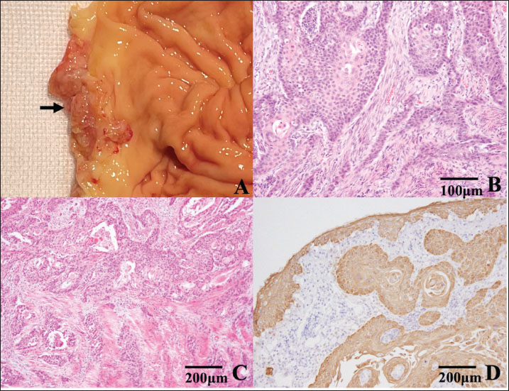
Macroscopically, the mass was whitish and located in the esophageal serosa close to the gastric cardia (Fig. 2A). Histopathologically, the tumor showed nests and cords with occasional tubular-like growth patterns. Most tumor cells were cuboidal-like basal cells with large nucleoli. Parakeratosis was sometimes observed at the center of the nests (Fig. 2B). The tumor exhibited anisokaryosis and cell atypia, but mitotic figures were uncommon. The tumor showed invasive growth into the esophageal submucosa and between the muscularis layers of the cardia (Fig. 2C). Immunohistochemical analysis revealed that the tumor cells were positive for cytokeratin 5/6 (Fig. 2D). Metastatic tumor cell foci were found in lymph nodes in the connective tissue surrounding the liver that were not confirmed by CT examination. Based on these features, the tumor was diagnosed as SCC. Part of the tumor was connected to the esophageal mucosa; thus, the tumor was suspected to originate from the esophagus.

The liver of the cat was pale orange (Fig. 3A). Histopathologically, diffuse centrilobular cytoplasmic vacuolation was observed in the liver (Fig. 3B). The vacuoles ranged from large to middle-sized single to few and were larger than the nucleus, which displaces the nucleus to the cell’s periphery. Toward the periphery of the lobular, multiple round cytoplasmic vacuolars were observed and tended to be smaller. Most hepatocytes (approximately 80%) held small or large vacuolations in the examined area, indicating severe hepatic lipidosis.


Discussion

There are various possible causes of obstructive esophageal disease in cats, including inflammatory diseases caused by various factors, foreign bodies, hiatal hernia, and congenital vascular ring abnormalities. Neoplastic diseases should also be considered as an important differential diagnosis for regurgitation and vomiting (Frowde et al., 2011; Marks, 2017). Primary malignant tumors that originate in the esophagus are common neoplastic diseases in humans; however, there are currently limited clinical reports of esophageal tumors in small animals (Amsellem and Fares, 2020). We reported a case of primary SCC that originated in the caudal esophagus of a cat. The referring veterinarian had only performed symptomatic treatment that had not resulted in clinical improvement before the cat was referred to our institution. In animals with vomiting or regurgitation due to unknown causes that do not respond to conventional treatment, primary esophageal malignant tumors should be considered as one of the differential diagnoses.

Fig. 2. (A) Gross finding of the tumor invading the gastric mucosa. Tumor tissue is observed in the gastric mucosa close to the gastric cardia (arrow). (B) Histopathological findings of the tumor. Most tumor cells were cuboidal-like basal cells with large nucleoli. Parakeratosis was sometimes observed at the center of the nests. (C) The tumor showed invasive growth to the submucosa of the esophagus and between muscularis layers of the cardia. (D) Immunohistopathological findings of the tumor tissue. Tumor cells were positive for cytokeratin 5/6, suggesting that the tumor was SCC.

Fig. 3. Gross appearance of the cat liver (A). The liver showed a pale orange color. Histopathological findings of the liver specimens (B). Diffuse centrilobular cytoplasmic vacuolation was observed in the liver, which was observed in most hepatocytes (approximately 80%). These findings were consistent with severe hepatic lipidosis.

SCC is the most common primary malignant tumor in the esophagus of cats (Happé et al., 1978; Gualtieri et al., 1999; Berube et al., 2009). The other histopathological types of primary esophageal tumors reported in cats included one case of adenosquamous carcinoma (Shinozuka et al., 2001) and one case of neuroendocrine carcinoma (Patnaik et al., 1990). As for non-epithelial esophageal tumors, one case each of angioleiomyosarcoma (Teo et al., 2014) and plasma cell tumor (Wallick et al., 2024) has been reported. However, these clinical reports have mainly focused on pathological findings, with limited descriptions of clinical information, such as treatment methods, outcomes, and survival times. Little is known about the differences in the prognosis of feline esophageal tumors depending on their histopathological type. Therefore, accumulating clinical cases of primary esophageal tumors in cats is necessary.

In a report of two cases of esophageal SCC in cats (Gualtieri et al., 1999), one cat underwent surgical removal but died 3 days after surgery, whereas the other cat was euthanized when a primary esophageal tumor was diagnosed. Another report described a cat with esophageal SCC that survived for 16 weeks with only gastrostomy tube maintenance (Berube et al., 2009). In our case, we similarly attempted to place a gastrostomy tube and provide nutritional support; however, our patient died 2 days after the gastrostomy tube was placed. At the time of death, in our case, the cat had marked jaundice with elevated blood total bilirubin and ammonia concentrations, suggesting the onset of hepatic lipidosis-induced liver failure, which was confirmed by postmortem histopathological examination of the liver. This condition might be caused by the patient’s long-term starvation that had occurred before she came to our hospital. In a previous report of two cats with SCC, one cat had severe jaundice and severe degeneration of liver tissue at autopsy (Gualtieri et al., 1999), suggesting that liver failure occurred through a similar mechanism to that in our case. It is well known that in cats, starvation leads to the development of hepatic lipidosis, which is often fatal (Watson, 2017). For cats with esophageal tumors, it may be important to start treatment at an early stage to allow sufficient food intake to prevent liver damage from progressing. Thus, early detection of primary esophageal tumors in cats is very important.

Recently, one case of laser ablation for a primary esophageal plasma cell tumor in a cat was reported (Wallick et al., 2024). The esophageal tumor was removed by endoscopic laser ablation in this case. Although the patient’s survival time was 76 days and cannot be considered a long-term survival case, endoscopic treatment has been considered minimally invasive, and further investigation is considered worthwhile in the future.

Although no complete pathological autopsy examination was performed in this case, metastatic lesions were observed in the lymph nodes around the liver. Happé et al. (1978) also reported distant metastases in the lungs, kidneys, spleen, thyroid, and lymph nodes of cats with esophageal SCC. This suggests that esophageal SCC has the potential to cause distant metastases and that it is necessary to accumulate knowledge on this aspect.


Conclusion

SCC of the feline esophagus is a rare neoplastic disease in small animals; however, it should be considered as a differential diagnosis in cats with refractory vomiting/regurgitation.


Acknowledgments

We thank Dr. Kelly Zammit, BVSc, from Edanz (https://jp.edanz.com/ac), for editing a draft of this manuscript.

Conflict of interest

The author declares no potential conflicts of interest with respect to this article’s research, authorship, and/or publication.

Funding

The author received no financial support for the research and publication of this article.

Authors contributions

Diagnostic imaging at the first visit was performed by Munekazu Nakaichi, Yuki Nemoto, and Takuya Itamoto. Munekazu Nakaichi, Mitsunori Shimonaga, Harumichi Ito, and Hiroshi Sunahara performed surgical treatment and postoperative management of the case. KyokoYoshizak performed pathological examination of the surgical specimen and necropsy. Munekzu Nakaichi, Kenji Tani, and Kazuhito Itamoto wrote the first draft, and all authors read and approved the final draft.

Data availability

All data supporting this study’s findings are available within the manuscript.


References

Amsellem, P.M. and Fares, J.P. 2020. Esophageal tumors.In Withrow and MacEwen’s small animal clinical oncology. Eds., Vail, D.M., Thamm, D.H. and Liptak, J 6th, St. Louis, MO: Elsevier, pp: 449–451.

Berube, D., Scott-Moncrieff, J.C., Rohleder, J. and Vemireddi, V. 2009. Primary esophageal squamous cell carcinoma in a cat. J. Am. Anim. Hosp. Assoc. 45, 291–295.

Frowde, P.E., Battersby, I.A., Whitley, N.T. and Elwood, C.M. 2011. Oesophageal disease in 33 cats. J. Feline Med. Surg. 13, 564–569.

Gualtieri, M., Monzeglio, M.G. and Giancamillo, M.D. 1999. Oesophageal squamous cell carcinoma in two cats. J. Small Anim. Pract. 40, 79–83.

Happé, R.P., Van Der Gaag, I., Wolvekamp, W.T. and Van Toorenburg, J. 1978. Esophageal squamous cell carcinoma in two cats. Tijdschr. Diergeneeskd. 103, 1080–1086.

Lee, S., Park, S., Kim, M., Hwang, S. and Kim, H.Y. 2020. Transhiatal esophagogastric anastomosis and postoperative monitoring of thoracic esophageal leiomyosarcoma in a dog. Can. Vet. J. 61, 401–406.

Marks, S.L. 2017. Diseases of the pharynx and esophagus. In Textbook of veterinary internal medicine : diseases of the dog and the cat, 8th ed. Eds.., Ettinger, S. J., Feldman, E. C. and Côté, E. St. Louis, MO: Elsevier, pp: 1476−1490

Nakamura, M., Chen, H.M., Momoi, Y. and Iwasaki, T. 2005. Clinical application of computed tomography for the diagnosis of feline hepatic lipidosis. J. Vet. Med. Sci. 67, 1163–1165.

Okanishi, H., Shibuya, H., Miyasaka, T., Asano, K., Sato, T. and Watari, T. 2015. Adenosquamous carcinoma of the oesophagus in a dog. J. Small Anim. Pract. 56, 521–523.

Patnaik, A.K., Erlandson, R.A. and Lieberman, P.H. 1990. Esophageal neuroendocrine carcinoma in a cat. Vet. Pathol. 27, 128–130.

Ranen, E., Dank, G., Lavy, E., Perl, S., Lahav, D. and Orgad, U. 2008. Oesophageal sarcomas in dogs: histological and clinical evaluation. Vet. J. 178, 78–84.

Robin, E.M., Pey, P.B., De Fornel-thibaud, P., Moissonnier, P.H.M. and Freiche, V. 2018. Esophageal leiomyoma in a dog causing esophageal distension and treated by transcardial placement of a self-expanding, covered, nitinol esophageal stent. J. Am. Vet. Med. Assoc. 252, 330–335.

Shinozuka, J., Nakayama, H., Uzuki, M., Ejiri, N., Uetsuka, K., Mochizuki, M., Nishimura, R., Sasaki, N. and Doi, K. 2001. Esophageal adenosquamous carcinoma in a cat. J. Vet. Med. Sci. 63, 91–93.

Teo, L.H., Cahalan, S.D., Benigni, L. and Halfacree, Z. 2014. Oesophageal angioleiomyosarcoma in a cat. J. Feline Med. Surg. 16, 846–852.

Wallick, M.E., Lechner, M.J. and Bonaventura, N.C. 2024. Transendoscopic laser ablation of an esophageal plasma cell tumor in a cat. JFMS. Open Rep. 10, 20551169241289405.

Watson, P. 2017. Metabolic diseases of the liver. In Textbook of veterinary internal medicine : diseases of the dog and the cat, 8th ed. Eds., Ettinger, S.J., Feldman, E.C. and Côté, E. St. Louis, MO: Elsevier, pp: 1658–1664



How to Cite this Article
Pubmed Style

Nakaichi M, Shimonaga M, Yoshizaki K, Nemoto Y, Sunahara H, Itoh H, Itamoto T, Itamoto K, Tani K. Esophageal squamous cell carcinoma invading the gastric cardia in a cat. Open Vet. J.. 2025; 15(9): 4750-4754. doi:10.5455/OVJ.2025.v15.i9.80


Web Style

Nakaichi M, Shimonaga M, Yoshizaki K, Nemoto Y, Sunahara H, Itoh H, Itamoto T, Itamoto K, Tani K. Esophageal squamous cell carcinoma invading the gastric cardia in a cat. https://www.openveterinaryjournal.com/?mno=251916 [Access: January 25, 2026]. doi:10.5455/OVJ.2025.v15.i9.80


AMA (American Medical Association) Style

Nakaichi M, Shimonaga M, Yoshizaki K, Nemoto Y, Sunahara H, Itoh H, Itamoto T, Itamoto K, Tani K. Esophageal squamous cell carcinoma invading the gastric cardia in a cat. Open Vet. J.. 2025; 15(9): 4750-4754. doi:10.5455/OVJ.2025.v15.i9.80



Vancouver/ICMJE Style

Nakaichi M, Shimonaga M, Yoshizaki K, Nemoto Y, Sunahara H, Itoh H, Itamoto T, Itamoto K, Tani K. Esophageal squamous cell carcinoma invading the gastric cardia in a cat. Open Vet. J.. (2025), [cited January 25, 2026]; 15(9): 4750-4754. doi:10.5455/OVJ.2025.v15.i9.80



Harvard Style

Nakaichi, M., Shimonaga, . M., Yoshizaki, . K., Nemoto, . Y., Sunahara, . H., Itoh, . H., Itamoto, . T., Itamoto, . K. & Tani, . K. (2025) Esophageal squamous cell carcinoma invading the gastric cardia in a cat. Open Vet. J., 15 (9), 4750-4754. doi:10.5455/OVJ.2025.v15.i9.80



Turabian Style

Nakaichi, Munekazu, Mitsunori Shimonaga, Kyoko Yoshizaki, Yuki Nemoto, Hiroshi Sunahara, Harumichi Itoh, Takuya Itamoto, Kazuhito Itamoto, and Kenji Tani. 2025. Esophageal squamous cell carcinoma invading the gastric cardia in a cat. Open Veterinary Journal, 15 (9), 4750-4754. doi:10.5455/OVJ.2025.v15.i9.80



Chicago Style

Nakaichi, Munekazu, Mitsunori Shimonaga, Kyoko Yoshizaki, Yuki Nemoto, Hiroshi Sunahara, Harumichi Itoh, Takuya Itamoto, Kazuhito Itamoto, and Kenji Tani. "Esophageal squamous cell carcinoma invading the gastric cardia in a cat." Open Veterinary Journal 15 (2025), 4750-4754. doi:10.5455/OVJ.2025.v15.i9.80



MLA (The Modern Language Association) Style

Nakaichi, Munekazu, Mitsunori Shimonaga, Kyoko Yoshizaki, Yuki Nemoto, Hiroshi Sunahara, Harumichi Itoh, Takuya Itamoto, Kazuhito Itamoto, and Kenji Tani. "Esophageal squamous cell carcinoma invading the gastric cardia in a cat." Open Veterinary Journal 15.9 (2025), 4750-4754. Print. doi:10.5455/OVJ.2025.v15.i9.80



APA (American Psychological Association) Style

Nakaichi, M., Shimonaga, . M., Yoshizaki, . K., Nemoto, . Y., Sunahara, . H., Itoh, . H., Itamoto, . T., Itamoto, . K. & Tani, . K. (2025) Esophageal squamous cell carcinoma invading the gastric cardia in a cat. Open Veterinary Journal, 15 (9), 4750-4754. doi:10.5455/OVJ.2025.v15.i9.80