E-ISSN 2218-6050 | ISSN 2226-4485
 

Case Report


Open Veterinary Journal, (2024), Vol. 14(7): 1726–1732

Case Report

10.5455/OVJ.2024.v14.i7.22

Abdominal fat necrosis in a female dromedary camel: Clinical, hematobiochemical, sonographic, and pathologic findings

Mohamed Tharwat1,2*, Mohie Haridy3,4, Hazem M. M. Elmoghazy5,6, Ayman Elnahas7 and Abdulrahman A. Alkheraif3*

1Department of Clinical Sciences, College of Veterinary Medicine, Qassim University, Buraidah, Saudi Arabia

2Department of Animal Medicine, Faculty of Veterinary Medicine, Zagazig University, Zagazig, Egypt

3Department of Pathology and Laboratory Diagnosis, College of Veterinary Medicine, Qassim University, Buraidah, Saudi Arabia

4Department of Pathology and Clinical Pathology, Faculty of Veterinary Medicine, South Valley University, Qena, Egypt

5University Veterinary Hospital, Qassim University, Buraidah, Saudi Arabia

6Veterinary Teaching Hospital, Faculty of Veterinary Medicine, Benha University, Benha, Egypt

7Department of Clinical Sciences, College of Veterinary Medicine, King Faisal University, Al-Hofuf, Saudi Arabia

*Corresponding Author: Mohamed Tharwat. Department of Clinical Sciences, College of Veterinary Medicine, Qassim University, Buraidah, Saudi Arabia. Email: atieh [at] qu.edu.sa

Submitted: 23/05/2024 Accepted: 22/06/2024 Published: 31/07/2024


Abstract

Background: Abdominal fat necrosis is mostly an incidental finding during rectal examination manifested by the presence of hard necrotic masses of different sizes. Differential diagnosis includes gastrointestinal neoplasia, abdominal abscessation and mummified fetuses. This report describes the clinical, hematological, biochemical, sonographic, and pathologic findings in a female Arabian camel (Camelus dromedaries) with abdominal fat necrosis.

Case Description: A 7-year-old female dromedary camel was presented for examination because of weakness and progressive weight loss since months ago. Anthelmintics, analgesics, broad-spectrum antimicrobials, anti-inflammatories and stomachics were administered, but did not result in significant improvement. Preliminary examination of the case revealed emaciation with a body condition score of 2.5 (scale 1–5). The cardiopulmonary, digestive, and urinary systems were evaluated transcutaneously by sonography in the recumbent position. Multiple echogenic masses—located within the intestinal loops were observed alongside few hypoechogenic masses. A hyperechogenic peritoneal effusion and enlarged mesenteric lymph nodes were also detected. Decreased hematocrit value, normocytic normochromic anemia, neutrophilic leukocytosis, hypoalbuminemia, hhyperglobulinemia, hyperglycemia, hyponatremia, and hyperkalemia were detected. A free-hand, ultrasound-guided biopsy was examined histopathologically and revealed multiple abdominal fat necrosis, severe fibrosis, and pancreatitis.

Conclusion: It is concluded that, transabdominal ultrasonography in camels was valuable for suspicious of abdominal mesenteric masses and helpful in sampling of a representative biopsy specimen However, histological examination of the biopsy remains the final diagnostic method.

Keywords: Camels, Fat necrosis, Diagnostic imaging, Pathology, Ultrasound.


Introduction

In cattle, abdominal fat necrosis is very complex and reported frequently in the form of necrotic and hard masses within the abdominal cavity. These masses are always multifocal and present in different locations including mesentery of the spiral colon, intestines, retroperitoneal area and mesorectum. Clinical manifestations of this disorder include constipation, scant feces, chronic anorexia, and intestinal obstruction (Tharwat and Buczinski, 2012; Tani et al., 2017).

The etiology of abdominal fat necrosis differs from that for fat deposition elsewhere in the body. Fat necrosis has historically been termed lipomatosis; however, lipomatosis is no longer appropriate because the masses are neither neoplastic nor hyperplastic (Serras et al., 2018). However, fat necrosis is a special type of necrosis and cell death of fat cells through chemical bindings of ions with triglycerides leaving hard tissue and process called saponification (Tani et al., 2017). Although the pathogenesis of the abdominal fat necrosis is not fully understood, several factors may play a role in its occurrence. Hereditary factors, overweight, feeding diets high in energy and absence of exercise are all associated with the incidence of abdominal fat necrosis (Katamoto et al., 1996). In addition, it was reported that acute pancreatitis manifested by enzymatic leakage is associated with fat necrosis as well as generalized inflammatory reaction (Charles, 2007).

Abdominal fat necrosis is diagnosed accidentally either during rectal examination, abdominal surgery or during slaughter (Tani et al., 2017). The clinical condition is usually detected during rectal palpation in the form of hard necrotic masses of different sizes within the mesentery (Oka, 1988). Differential diagnosis includes intestinal neoplasia such as intestinal adenocarcinoma, lymphosarcoma, peritoneal tumors as mesothelioma and abdominal abscessation and mummified fetuses (Tharwat and Buczinski, 2012). Abdominal fat necrosis is diagnosed accidentally either during rectal examination, abdominal surgery or during slaughter (Tani et al., 2017). The clinical condition is usually detected during rectal palpation in the form of hard necrotic masses of different sizes within the mesentery (Oka, 1988). Differential diagnosis includes intestinal neoplasia such as intestinal adenocarcinoma, lymphosarcoma, peritoneal tumors as mesothelioma and abdominal abscessation and mummified fetuses (Tharwat and Buczinski, 2012). A previous study was carried out by our group concluded that the diagnosis of fact necrosis can be achieved clinically using the ultrasound and confirmed by ultrasound-guided biopsies of necrotic fats (Tharwat and Buczinski, 2012).

This report illustrates the clinical, hematobiochemical, sonographic, and histopathologic findings in a female camel (Camelus dromedaries) with abdominal fat necrosis.


Case Details

A 7-year-old non-pregnant, non-lactating female camel (Camelus dromedaries) was presented to the Veterinary Hospital of the University of Qassim, Saudi Arabia for investigation because of weakness and progressive weight loss that started ten months ago. During that time, different medications were used for treatment of the case but without a response. These remedies included anthelmintics, analgesics, broad-spectrum antimicrobials, anti-inflammatories and stomachics. At first, routine clinical examination was carried out including inspection of the general body state, auscultation of the cardio-pulmonary and gastrointestinal systems, alongside estimating the rectal temperature and respiratory and pulse rates.

Because of the short period spent at the clinic, approval of the biopsy procedures by the experimental animal committee regulations of Qassim University was not applicable to this case. These regulations are correlated well the recommendations of laboratory animals of the national institutes of animal health (USA, 86-23, 1996). Despite this, a written approval was obtained from the owner regarding the biopsy process.

Two blood samples were collected from the diseased animal; the first on EDTA tube for complete blood count assay, and the second on heparin for biochemical measurements. The erythrocyte count, total and differential leukocytic count, hemoglobin, hematocrit, and the red blood cells indices including mean corpuscular hemoglobin (MCH), mean corpuscular volume (MCV), and mean corpuscular hemoglobin concentration (MCHC) were measured in the EDTA blood sample (VetScan HM5, Abaxis, California, USA). An automated veterinary analyzer (VetScan VS2, Abaxis, California, USA) was used to assess the plasma constituents of albumin, total protein, globulin, calcium, blood urea nitrogen (BUN), creatinine, glucose, sodium, total bilirubin, and potassium.

The cardiopulmonary, digestive and urinary systems, and the liver and peritoneum were evaluated transcutaneously by sonography in the female camel in the recumbent position. The procedure was performed out using 3.5 MHz sector transducer (SonoScape, Sonoscape Medical Corp., China) as previously reported (Tharwat, 2020a).

After the owner acceptance, abdominal lesion was sampled using a free-hand, ultrasound-guided biopsy technique. The area between the 9th and the 12th intercostal spaces was clipped, shaved and aseptically prepared. Xylazine (2 ml IV; 0.18 mg/kg BW) and 10 ml of procaine Hcl as a local anesthetic solution was infiltrated. The puncture location was selected so that the needle was advanced through the thickest part of the lesion. With ultrasound guidance, a 14G × 170 mm spinal needle (Kurita Co., Ltd, Tokyo, Japan) was inserted into the abdominal lesion using a free-hand technique (Mohamed et al. 2002; Mohamed et al. 2003a,b,c,d; Mohamed et al. 2004; Mohamed and Oikawa 2008). Immediately after being taken from the operating theater, a specimen was fixed in 10% neutral buffered formalin for 24 hours before being routinely processed and embedded in paraffin. For histopathological diagnosis, consecutive 5-μm-thick sections were cut with a microtome and stained with hematoxylin and eosin.

Vital signs included a temperature of 36.0°C, and pulse and respiratory rates of 45/minutes and 10/minutes, respectively. Preliminary examination revealed that camel had an emaciation with a body condition score of 2.5 (scale 1–5) (Fig. 1).

Hematological examination revealed hematocrit 21.1% (normal value 28.9% ± 2.7 %), RBCs 8.38 × 106/µl (normal value 11.3 ± 1.4 × 106/µl), hemoglobin 9.9 g/dl (normal value 16.0 ± 2.3 g/dl), MCV 25 fl (normal value 25.5 ± 1.5 fl), MCH 11.9 pg (normal value 14.7 ± 2.4 pg), MCHC 47.3 g/dl (normal value 57.6 ± 9.0 g/dl), white blood cell count 54,370/µl (normal value 16.9 ± 2.7 × 109/l), neutrophils 51,450 /µl (normal value 9.8 ± 3.0 × 109/l), and lymphocytes 1,630 /µl (normal value 5.9 ± 2.4 × 109/l).

Blood chemistry panel showed albumin 2.9 g/dl (normal value 4.2 ± 0.4 g/dl), total protein 8.4 g/dl (reference range 7.9 ± 0.4 g/dl), globulin 5.4 g/dl (normal value 3.7 ± 0.5 g/dl), BUN 17 mg/dl (normal value 17 ± 10.0 mg/dl), glucose 210 mg/dl (normal value 61 ± 19 mg/dl), calcium 9.4 mg/dl (normal value 8.6 ± 0.7 mg/dl), creatinine 1.4 mg/dl (normal value 1.3 ± 0.2 mg/dl), sodium 145 mmol/l (normal value 163 ± 2.0 mmol/l), potassium 4.7 mmol/l (normal value 3.8 ± 0.2 mmol/l) and total bilirubin 0.2 mg/dl (normal value 0.8 ± 0.3 mg/dl).

Fig. 1. A 7-year-old female dromedary camel with pancreatic fat necrosis.

On the right side of the abdomen, transabdominal ultrasonography revealed multiple echogenic masses located within the intestinal loops; some of the masses are hypoechogenic. Other findings included hyperechogenic peritoneal effusion and enlarged calcified mesenteric lymph nodes (Fig. 2).

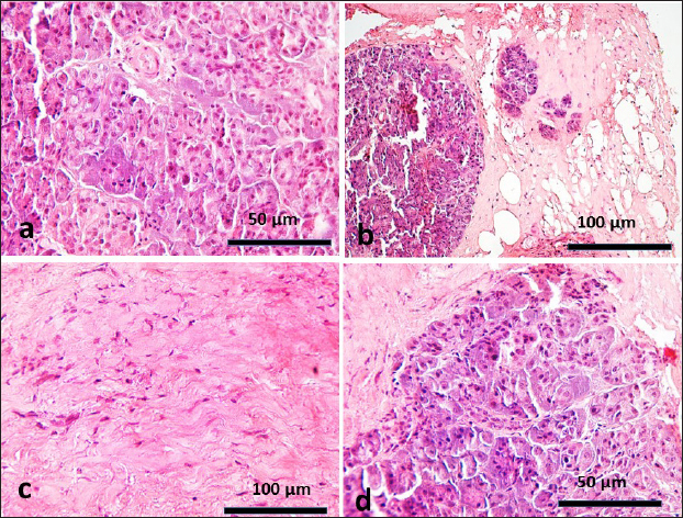
Histopathological examination of the prepared specimen revealed pancreatitis associated with fat necrosis and massive fibrosis. The pancreatitis appeared as mild destruction of the acinar structure associated with vacuolization of B-islet of Langerhans. Neutrophilic cell infiltration was observed in the substance of acinar tissue. The surrounding fat tissue revealed homogenous eosinophilic materials in fat cells representing the necrosis of fat. The surrounding tissue composed of massive collagenous fibers with fibroblastic proliferations and the fibrosis is invading pancreatic tissue (Fig. 3).


Discussion

Abdominal lipomatosis is a pathological condition frequently diagnosed in cattle and leads to huge economic losses. The condition reduced carcass weight rib eye area and darkened the beef. The indirect losses from the disease were estimated as a maximum of $131.7 per animal and around $6.26 million for the industry, mostly because of the reduction in carcass weight (Inoue et al., 2016). Fat necrosis is defined by necrosis of adipose tissue of different organs within the abdominal cavity (Reed et al., 2010; Yu et al., 2010). To the authors’ knowledge, this report is the first that documents the clinical, hematological, biochemical, sonographic, and pathologic findings in a female Arabian camel (Camelus dromedaries) with abdominal fat necrosis.

Fat necrosis is characterized in cattle by symptoms closely related to the digestive system caused by constriction of the gastrointestinal lumen by the necrotic fat masses (Lee et al., 2023). Therefore, clinical signs include ruminal and intestinal tympany, scant feces, constipation and even complete loss of defecation (Reed et al., 2010). In our previous report about fat necrosis in cattle, animals were presented with a history of decreased milk yielding, chronic diarrhea, abdominal pain, and scanty feces (Tharwat and Buczinski, 2012). In the current female dromedary camel, previous history was absolutely nonspecific to the digestive system and included only progressive weight loss and weakness, and at admission, primary examination revealed emaciation and severe decrease in scoring of body condition (2.5 over a scale of 5.0).

Fig. 2. Ultrasonographic findings in a 7-year-old female dromedary camel with abdominal fat necrosis. Sonography of the right side of the abdomen showed multiple echogenic masses (EM) located within the intestinal loops; some of the masses are hypoechogenic (HM). Hyperechogenic peritoneal effusion (PE) was also imaged (A). Enlarged calcified mesenteric lymph nodes (LN) with distal acoustic shadowing was additional finding (B).

Fig. 3. Histopathology of the biopsy specimens revealed pancreatitis with neutrophil infiltration and acinar degeneration (a), fat necrosis (b), massive fibroplasia (c) that invading pancreatic tissue (d) (H&E).

Hemato-biochemically, it was reported that cattle with abdominal fat necrosis have neutrophilic leukocytosis, hyperproteinemia, hyperglobulinemia, decreased total cholesterol and phospholipids and increased concentrations of β-hydroxy butyric acid and non-esterified fatty acids and increased activity of lactate dehydrogenase (Tharwat and Buczinski, 2012). Concerning the hematological alteration in the present female camel with fat necrosis, results revealed decreased hematocrit value, normocytic normochromic anemia, and neutrophilic leukocytosis. These findings agree-well to our finding in cattle and may point out to secondary bacterial infection (Tharwat and Buczinski, 2012). Coming to the biochemical panel, abnormalities included hypoalbuminemia, hyperglobulinemia, hyperglycemia, hyponatremia and hyperkalemia. The low serum albumin, hyponatremia, hyperkalemia may be due to inflammation of the intestines; while hyperglobulinemia may be due to the chronic nature of the disease (Tharwat and Buczinski, 2012).

Ultrasonographically, cattle with abdominal fat necrosis shows heterogenous hyperechoic masses, echogenic omentum with localized, non-capsulated masses floating in echogenic peritoneal effusions. Kidneys were imaged surrounded by hyperechoic rims and intestines were surrounded by hyperechogenic capsule (Tharwat and Buczinski, 2012). In dromedary camels, ultrasonog../sample/Final-Updated/14(7)/New%20folder/100-1700834438_2R.pdfraphy has been proved effective for verification of different disorders (Tharwat, 2020a,b,c; Tharwat and El-Tookhy, 2021; Tharwat et al., 2023; Tharwat, 2024; Tharwat et al., 2024a,b). In the present case, transabdominal sonography revealed multiple echogenic masses located within the intestinal loops; some of the masses are hypoechogenic. A Hyperechogenic peritoneal effusion and enlarged mesenteric lymph nodes were also detected. It was also proved that ultrasound is valuable in dromedary camels for assistance in antemortem diagnosis of abdominal masses (Sadan et al., 2024).

The histopathological findings of fat necrosis, fibrosis and pancreatitis in biopsy confirmed the diagnosis of abdominal fat necrosis in camel. These findings are in consistence with those reported in cattle (Tani, et al., 2017), however the findings of the present study were mild pancreatitis with neutrophilic infiltration and acinar and B- islet vacuolation. The biopsy specimen might not be suitable enough to record the severity of pancreatitis as slaughterhouse material do (Tani, et al., 2017). Although the sonography revealed masses of lesions in abdominal cavity, but precise and define diagnosis was obtained by biopsy examination. This might highlight the importance of application of biopsy techniques in animal medicine especially in camels (Stone, 1995).


Conclusion

In this clinical report, transabdominal ultrasonography as a routine procedure performed for non-specific and vague symptoms was valuable for suspicious of abdominal mesenteric masses. It was also helpful in sampling of a biopsy specimen from the abdominal lesions. However, histological examination of the biopsy specimen remains the final diagnostic method.


Acknowledgments

None.

Conflict of interest

The authors declare that there is no conflict of interest.

Funding

This research received no specific grant.

Authors’ contributions

MT: Practical work, writing manuscript draft, editing, and revising the manuscript. MH and AAA: Histopathological work, editing and revising the manuscript. HE, practical work, editing and revising the manuscript. AE: Editing and revising the manuscript. All authors revised and approved the manuscript for publication.

Data availability

All data supporting the findings of this study are available within the manuscript.


References

Charles, J. A. 2007. Pathology of domestic animals, 5th ed. In: Maxie, M. G. Eds., Pancreas, Philadelphia, PA: Saunders, Vol. 2, pp: 389–424

Inoue, K., Honda, T. and Oyama, K. 2016. Economic losses related to internal diseases in Japanese black cattle. Anim. Sci. J. 87, 736–741.

Katamoto, H., Aoki, M., Shimada, Y. and Hakogi, E.1996. Lipoprotein lipase activity of post-heparin plasma in Japanese black cattle affected with fat necrosis. Br. Vet. J. 152, 339–345.

Lee, S.J., Cho, H.S., Noh, S., Kim, Y.H., Seo, H.W. and Oh, Y. 2023. A postmortem case study-an analysis of microRNA patterns in a Korean native male Calf (Bos taurus coreanae) That Died of Fat Necrosis. Animals 13, 2149.

Mohamed, T. and Oikawa, S. 2008. Efficacy and safety of ultrasound-guided percutaneous biopsy of the right kidney in cattle. J. Vet. Med. Sci. 70, 175–179.

Mohamed, T., Oikawa, S., Iwasaki, Y., Mizunuma, Y., Takehana, K., Endoh, D., Kurosawa T. and Sato H, 2004. Metabolic profiles and bile acid extraction rate in the liver of cows with fasting-induced hepatic lipidosis. J. Vet. Med. A. 51, 113–118.

Mohamed, T., Oikawa, S., Nakada, K., Kurwasawa, T., Sawamukai, Y. and Sato, H. 2003a. Percutaneous ultrasound-guided over-the-wire catheterization of the portal and hepatic vessels in cattle. J. Vet. Med. Sci. 65, 813–816.

Mohamed, T., Sato, H., Kurosawa, T. and Oikawa, S. 2002. Echo-guided studies on portal and hepatic blood in cattle. J. Vet. Med. Sci. 64, 23–28.

Mohamed, T., Sato, H., Kurosawa, T. and Oikawa, S. 2003c. Transcutaneous ultrasound-guided pancreatic biopsy in cattle and its safety: a preliminary report. Vet. J. 166, 188–193.

Mohamed, T., Sato, H., Kurosawa, T. and Oikawa, S. 2003d. Ultrasound-guided biopsy of the pancreas of cattle. Vet. Rec. 153, 467.

Mohamed, T., Sato, H., Kurosawa, T., Oikawa, S. and Nitanai, A. 2003b. Ultrasonographic imaging of experimentally induced pancreatitis in cattle. Vet. J. 165, 314–324.

Oka, A., Yamasaki, T., Shibatani, M., Suzuki, T. and Saito, T. 1988. Efficacy of iso-prothiolane for the treatment of fat necrosis in cattle. Br. Vet. J. 144, 507–514.

Reed, S.D. and Evans, D.E. 2010. Necrotizing infiltrative lipomatosis in a miniature Zebu bull (Bos primigenius indicus). Vet. Med. Int. 2010, e810496.

Sadan, M., Tharwat, M., Alkhedhairi, S., Refaai, W., Moghazy, HMEL., Khodier, M.M., Alkhamiss, A.S. and Ghallab, A. 2024. Abdominal pedunculated leiomyoma in a male dromedary camel: clinical, hematobiochemical, ultrasonographic and pathologic findings. Int. J. Vet. Sci. 13, 458–462.

Serras, A.R., Rasotto, R., Piccinno, F., Pisani, G. and Murgia, D. 2018. Lipomatosis of the parotid salivary gland: 2 case reports and review of the literature on fat-containing salivary gland lesions. Int. J. Vet. Sci. Med. 6, 253–257.

Stone, E.A. 1995. Biopsy: principles, technical considerations, and pitfalls. Vet. Clin. Small Anim. Pract. 25, 33–45.

Tani, C., Pratakpiriya, W., Tani, M., Yamauchi, T., Hirai, T., Yamaguchi, R., Ano, H. and Katamoto, H. 2017. Histopathological changes in the pancreas of cattle with abdominal fat necrosis. J. Vet. Med. Sci. 79, 52–59.

Tharwat, M, 2020a. Ultrasonography of the abdomen in healthy and diseased camels (Camelus dromedaries). J. Appl. Anim. Res. 48, 300–312.

Tharwat, M. 2020b. Ultrasonography of the liver in healthy and diseased camels (Camelus dromedaries). J. Vet. Med. Sci. 82, 399–407.

Tharwat, M. 2020c. Ultrasonography of the kidneys in healthy and diseased camels (Camelus dromedarius). Vet. Med. Intern. 2020, 7814927.

Tharwat, M. 2024. Fundamentals of diagnostic ultrasound in dromedary camel medicine. Int. J. Vet. Sci. 13, 1–6.

Tharwat, M. and El-Tookhy O. 2021. Ocular ultrasonography in camels (Camelus dromedarius): a review. J. Camel Pract. Res. 28, 185–190.

Tharwat, M., and Buczinski, S. 2012. Diagnostic ultrasonography in cattle with abdominal fat necrosis. Can. Vet. J. 53, 41–46.

Tharwat, M., El Moghazy, H.M. and Oikawa, S. 2023. Ultrasonographic verification of hepatic hydatidosis in a female dromedary camel: a case report. J. Vet. Med. Sci. 85, 1286–1290.

Tharwat, M., Sadan, M. and Al-Hawas, A. 2024a. The emerging topic of injected cosmetic fillers in the perinasal region of dromedary camels: ultrasonographic and radiographic verification. Open Vet. J. 14, 840–845.

Tharwat, M., El-Ghareeb, W.R. and Almundarij, T.I. 2024b. Depraved appetite in dromedary camels: Clinical, ultrasonographic, and postmortem findings. Open Vet. J. 14, 652–663.

Yu, D., Lee, H., Kim, B. and Park, J. 2010. Serum lipid analyses in Korean indigenous cattle with abdominal fat necrosis. J. Vet. Clin. 27, 407–410.



How to Cite this Article
Pubmed Style

Tharwat M, Haridy M, Elmoghazy H, Elnahas A, Alkheraif A. Abdominal Fat Necrosis in a Female Dromedary Camel: Clinical, Hematobiochemical, Sonographic and Pathologic Findings. Open Vet. J.. 2024; 14(7): 1726-1732. doi:10.5455/OVJ.2024.v14.i7.22


Web Style

Tharwat M, Haridy M, Elmoghazy H, Elnahas A, Alkheraif A. Abdominal Fat Necrosis in a Female Dromedary Camel: Clinical, Hematobiochemical, Sonographic and Pathologic Findings. https://www.openveterinaryjournal.com/?mno=202605 [Access: November 18, 2025]. doi:10.5455/OVJ.2024.v14.i7.22


AMA (American Medical Association) Style

Tharwat M, Haridy M, Elmoghazy H, Elnahas A, Alkheraif A. Abdominal Fat Necrosis in a Female Dromedary Camel: Clinical, Hematobiochemical, Sonographic and Pathologic Findings. Open Vet. J.. 2024; 14(7): 1726-1732. doi:10.5455/OVJ.2024.v14.i7.22



Vancouver/ICMJE Style

Tharwat M, Haridy M, Elmoghazy H, Elnahas A, Alkheraif A. Abdominal Fat Necrosis in a Female Dromedary Camel: Clinical, Hematobiochemical, Sonographic and Pathologic Findings. Open Vet. J.. (2024), [cited November 18, 2025]; 14(7): 1726-1732. doi:10.5455/OVJ.2024.v14.i7.22



Harvard Style

Tharwat, M., Haridy, . M., Elmoghazy, . H., Elnahas, . A. & Alkheraif, . A. (2024) Abdominal Fat Necrosis in a Female Dromedary Camel: Clinical, Hematobiochemical, Sonographic and Pathologic Findings. Open Vet. J., 14 (7), 1726-1732. doi:10.5455/OVJ.2024.v14.i7.22



Turabian Style

Tharwat, Mohamed, Mohie Haridy, Hazem Elmoghazy, Ayman Elnahas, and Abdulrahman Alkheraif. 2024. Abdominal Fat Necrosis in a Female Dromedary Camel: Clinical, Hematobiochemical, Sonographic and Pathologic Findings. Open Veterinary Journal, 14 (7), 1726-1732. doi:10.5455/OVJ.2024.v14.i7.22



Chicago Style

Tharwat, Mohamed, Mohie Haridy, Hazem Elmoghazy, Ayman Elnahas, and Abdulrahman Alkheraif. "Abdominal Fat Necrosis in a Female Dromedary Camel: Clinical, Hematobiochemical, Sonographic and Pathologic Findings." Open Veterinary Journal 14 (2024), 1726-1732. doi:10.5455/OVJ.2024.v14.i7.22



MLA (The Modern Language Association) Style

Tharwat, Mohamed, Mohie Haridy, Hazem Elmoghazy, Ayman Elnahas, and Abdulrahman Alkheraif. "Abdominal Fat Necrosis in a Female Dromedary Camel: Clinical, Hematobiochemical, Sonographic and Pathologic Findings." Open Veterinary Journal 14.7 (2024), 1726-1732. Print. doi:10.5455/OVJ.2024.v14.i7.22



APA (American Psychological Association) Style

Tharwat, M., Haridy, . M., Elmoghazy, . H., Elnahas, . A. & Alkheraif, . A. (2024) Abdominal Fat Necrosis in a Female Dromedary Camel: Clinical, Hematobiochemical, Sonographic and Pathologic Findings. Open Veterinary Journal, 14 (7), 1726-1732. doi:10.5455/OVJ.2024.v14.i7.22